Fogalomtár

Kisokos a fogszabályozásban és a fogászatban használatos szakszavak megismeréséhez, megértéséhez



A
Acélív

A kezelés végső fázisaiban használt ívek acélból készülnek. Nagyon sima felületük miatt a bracketekben könnyen elcsúsznak (főleg önligírozó tecnhikánál), így a rések zárása gyorsan megtörténik. Kellően merevek, így nem engedik, hogy a fogak nem kívánatos irányba mozduljanak el.

Ajakfék

Az ajakfék nem más, mint az ajkak mozgását szabályozó, korlátozó nyálkahártya tömörülés, mely az alsó és felső első metszők fölött-között helyezkedik el. A túlságosan kifejezett ajakfék beszédproblémát, ínyvisszahúzódást, vagy akár rést is okozhat a metszőfogak között. A köteges, kifejezett ajakféket egy kis szájsebészeti beavatkozás során korrigálni lehet, legkíméletesebben lézerrel.

Állcsúcsi izom

Az állcsúcsi izom (musculus mentalis) fogszabályozási szempontból is fontos izmunk. Az alsó ajak alatt nem sokkal ered, és az állcsúcson, annak bőrén tapad. Túlműködése gyakori mélyharapásnál, illetve disztálharapásnál. Alulműködése általában nyitottharapásnál látható. Az izom funkciójának befolyásolásával a fenti eltérések korrekcióját segíthetjük, nagymértékben hozzájárulhatunk a végeredmény stabilitásához, illetve esztétikailag is sokat javít a profil megjelenésén a kiegyensúlyozottan működő állcsúcsi izom.

Állkapocsízület

Az állkapocsízület (temporomandibularis ízület, TMI) egy páros, korlátolt szabad ízület, melyben az alsó állcsont ízesül a koponyával. Különlegessége, hogy mindkét oldalon található ízülethez ugyanaz az állcsont (alsó állcsont, mandibula) tartozik. Az ízületet az alsó állcsont egy nyúlványa, a halántékcsont mélyedése, ízületi porckorong, ízületi folyadék, ízületi tok, továbbá szalagok és izmok alkotják. Működése szerteágazó, és nagyon bonyolult. Az egészséges állkapocsízület alapfeltétele a fogak harmonikus, funkcionálisan is megfelelő illeszkedése. Ez biztosítja, hogy az állkapocs mozgásai ideális ízületi mozgáspályák mentén történjenek. Amennyiben nincs megfelelő fogérintkezés (nyitott harapás, keresztharapás, mélyharapás stb.), úgy ezek a mozgáspályák sérülhetnek, és számos problémát okozhatnak. Ez lehet fájdalom, kellemetlen ropogó, kattogó hangjelenség. Hosszú távon ízületi degeneráció alakulhat ki. Ilyenkor az ízületet alkotó elemek valamelyike kezdetben visszafordíthatóan, majd később visszafordíthatatlanul sérül. Nem is gondolnánk, hogy az állandó reggeli fejfájások oka akár állkapocsízületi problémára is utalhat. Számos esetben bölcsességfog fájdalomnak hiszik a páciensek az ízületi fájdalmat. Az állkapocsízületi problémák megnehezíthetik a mindennapokat, akár a rágás, szájnyitás is nehézzé válhat. Mindezeket elkerülhetjük, vagy megszüntethetjük fogszabályozó kezelés segítségével, ahol az esztétikus fogívek kialakításán túl harmonikusan illeszkedő fogívek létrehozásával védjük az állkapocsízület egészségét. Fontosnak tartom megjegyezni, hogy a komoly állkapocsízületi fájdalommal jelentkező páciensek kezelése általában tovább tart. Az állkapocsízületi diagnosztika során kiegészítő vizsgálatokat (Aqualizer) alkalmazok, szükség esetén pedig izomrelaxációs sínt (Dezorientációs sín) is kapnak a pácienseim. A kezelés alatt sokszor dolgozom együtt manuálterapeuta kollégákkal. Súlyos esetben gnatológus (állkapocsízületi specialista) kollégához irányítom pácienseim.

Angle-féle harapás osztályozás

Edward H. Angle a fogszabályzás atyja, akinek harapási eltérések besorolására kialakított rendszerét a mai napig használjuk. A rendszer természetesen nem tökéletes, de jó alap a fogszabályzó orvosok kommunikációjának könnyítésére. 3 csoportot különböztet meg:

Angle I.: A felső első nagyőrlő fogak külső-elülső csücske (mesiobuccalis csücsök) az alsó első nagyőrlő fogak két külső csücske közötti barázdába harap, valamint a felső szemfog az alsó szemfog és első kisőrlő közé harap. Orthognath arctípussal társul legtöbbször.

Angle II.: felső első nagyőrlő fogak külső-elülső csücske (mesiobuccalis csücsök) az alsó első nagyőrlő fog és az alsó második kisőrlő fog közé harap, valamint a felső szemfog az alsó szemfog elé harap. Másik nevén disztálharapás. Általában hátraszorult, és/vagy növekedésben lemaradt alsó állcsont figyelhető meg. Retrognath arctípussal társul legtöbbször. Másik nevén disztálharapás.

Angle III.: felső első nagyőrlő fogak külső-elülső csücske (mesiobuccalis csücsök) az alsó első nagyőrlő fog és az alsó második nagyőrlő fog közé harap, valamint a felső szemfog az alsó első és második kisőrlő közé harap. Másik nevén meziálharapás (bulldog harapás). Általában előreugró alsó állcsont figyelhető meg. Szinte mindig a felső állcsont alulfejlettségével jár. Legtöbbször örökletes eltérés. Prognath arcprofillal társul legtöbbször. Másik nevén meziálharapás.

Ankylosis

Az ankylosis a fogak és az őket körülvevő csontszövet között kialakuló kóros egyesülési forma. Ilyenkor lényegében a fogágy szerkezete megváltozik, és a fog a csonthoz rögzül, akár csak egy fogpótlásra használatos fogászati implantátum. A fogak normális előtörését és a fogszabályozási mozgatásokat is megakadályozza. Gyakrabban alakul ki tejfogakban, mint maradó fogakban (általában őrlőfogaknál). Legtöbbször korábbi balesetet elszenvedett fogaknál jön létre, de kialakulhat mindenféle külső behatás nélkül is, genetikai úton. A diagnózis felállítása nem egyszerű. Sokszor egyértelmű, például az íny szintjében megrekedt, külső akadály nélkül sem előtörő fogaknál nagyon valószínű kórkép. A legtöbb esetben háromdimenziós CBCT felvétel szükséges a kórkép megállapításához. Az ankylotizált fogak további tulajdonsága, hogy kopogtatásra jellegzetesen tompa, dobozos hangot adnak ki. Kezelésére számos alternatíva létezik:

  1. Az adott fog eltávolítása
  2. A fog dekoronálása, tehát a fog koronájának eltávolítása a foggyökér kihúzása nélkül. Számos kutatás bebizonyított, hogy ez egy igen kedvező, megbízható végeredményt adó terápiás lehetőség. A foggyökerek ilyenkor sok esetben maguktól felszívódnak. Amennyiben nem, az sem jelent akadályt, így is lehetséges fogpótlások készítése, sőt, akár fogászati implantátum behelyezése is.
  3. A fog helyi érzéstelenítésben történő megmozgatása. Lényegében a foghúzásoknál alkalmazott mozdulatsor első lépéseit hatja végre a szájsebész, melynek eredményeként a fog mozgathatóvá válhat, a csontos fúziót megszüntetjük. Ennek egy radikálisabb alternatívája, amikor a teljes fogat körülvevő csontblokkot mobilizálják, és a fogat azzal együtt mozgatják. Utóbbit extrém ritkán alkalmazzuk. A mobilizált fogakat mindkét esetben fogszabályozási miniimplantátumok segítségével kezdjük el mozgatni.
Aqualizer

Az Aqualizer egy vékony, szilikonból készült, vízzel töltött készülék, mely alkalmas állkapocsízületi problémák diagnosztizálásra, illetve tüneti kezelésére. A felső fogívre kell felhelyezni, az őrlőfogak rágófelszínén pedig egy-egy vízzel töltött párna található, amit egy vékony, üreges csatorna köt össze. Az alsó fogívvel enyhén összezárva a víz egyenletesen oszlik el a készülékben. A fogak ilyenkor nem érnek össze, így a nem kívánatos, korai, az ízületet rossz pozícióba vezető fogérintkezéseket elimináljuk. Képet kapunk az ízület kívánatos helyzetéről, tehát arról, hogy hol kellene elhelyezkedjen az alsó állkapocs a felsőhöz viszonyítva. Használata gyors és egyszerű, nem ismerek még egy ilyen hatékonysággal működő készüléket.

Attachment

A láthatatlan fogszabályozó készülékes kezelés során a fogak külső felszínére ragasztott, fogszínű tömőanyagból (kompozitból) készült, speciális formájú kiegészítő elemeket attachmenteknek nevezzük. Ezek hatékonyabbá teszik a láthatatlan fogszabályozóval történő fogmozgatást. Eltávolításuk speciális fúrókkal történik, így a fogzománcot nem sértjük meg.

B
Blue grass

A felső első őrlőfogakon gyűrűvel rögzülő, a szájpadot vékony acélívvel áthidaló rögzített fogszabályzó készülék, mely közepén (a szájpadon) apró golyó található. Ezt a golyót nyelvvel pörgetni lehet, ezért gyerekeknél gyakran használjuk használjuk nyelvlökéses nyelés korrekciójára. A készülékkel játékosan érhető el a nyelv helyes pozícióba szoktatása.


A kép forrása: https://kieferorthopaedie.com/

Bracket

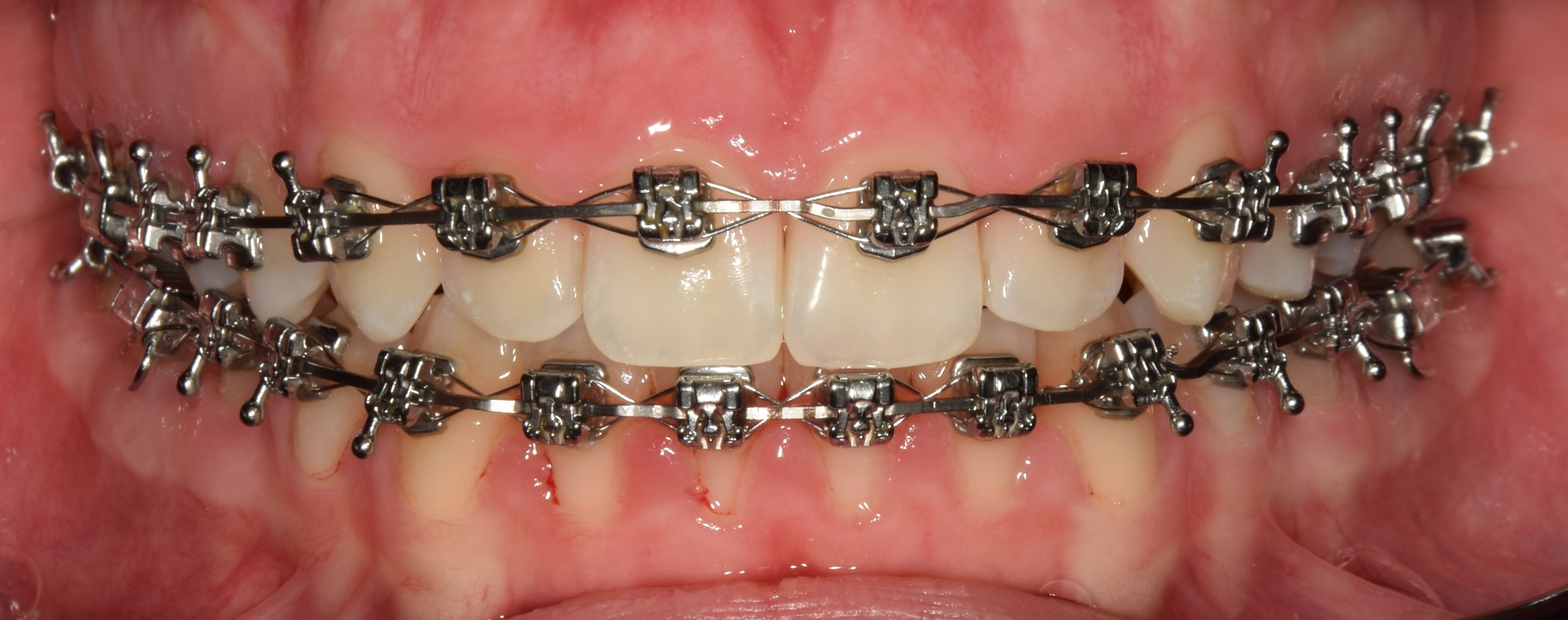
Bracketnek nevezzük a rögzített fogszabályzó készülék fogakra ragasztott alkotóelemét, melyekbe a fogszabályzó ívet valamilyen módszerrel rögzítjük. Kisőrlőtől-kisőrlőig dolgozunk bracketekkel, a nagyőrlőkön már tubusok vannak. A bracketek (tappancsok) fogakkal érintkező talpa érdes, hálós szerkezetű, mely jobb rögzülést biztosít. Elsősorban az oldalsó bracketeken (nagyőrlők, kisőrlők, szemfogak), található speciális kampó is. Erre különböző kiegészítő eszközöket akaszthatunk (intermaxilláris gumihúzás, füzérgumi, húzórugó stb.). Anyaga szerint beszélhetünk fém, kerámia, műanyag és arany bracketekről. Az ív rögzítésének típusa szerint megkülönböztetünk hagyományos (az ívet gumival rögzítjük a bracketbe), illetve önligírozó bracketeket (nyitó-záró szerkezettel rögzítjük az ívet).

Béta titánium ív

A kezelés során használt utolsó ív. Rugalmasabb az acél íveknél, de merevebb a nikkel-titánium íveknél. Kiválóan alkalmas a harapás végső harmonizálására, és a kívánatos fogaskerékszerű alsó-felső fogérintkezés kialakítására.

C
Crista infrazygomatica

A járomcsont alatt található csonttaréj, amely a felső fogívben található, általában az első és második nagyőrlők között. Legtöbbször megfelelő csontminősége van fogszabályozási miniimplantátumok behelyezésére. Nagy előnye ennek a területnek, hogy a minicsavarok a foggyökereken kívüli területre kerülnek (nem pedig a gyökerek közé), ezáltal szabad mozgást biztosítanak előre-hátra irányban. Segítségével teljes alsó vagy felső fogívet tudunk előre, vagy hátra is mozgatni, az ehhez felhasznált biomechanika pedig viszonylag egyszerű.

Cysta

A cysta egy kötőszövetes falú, hámszövettel bélelt üreg, mely legtöbbször folyadékot tartalmaz, bizonyos esetekben levegőt. Számos szempont szerint lehet csoportosítani őket, egy fő elmélet szerint beszélhetünk fog eredetű, nem fog eredetű, lágyrész, gyulladásos és traumás cystáról is. Fogszabályzási szempontból jelentősége az, hogy impaktált fogak körül felnőttkorban sokszor kialakulhat cysta, ha nem kezeljük időben fogszabályozással a kialakult helyzetet. Ilyenkor a cysta elkezd növekedni, és a szomszédos fogak gyökerének nyomódhat, ezzel gyökérfelszívódást okozva. A cysták eltávolítása minden esetben szájsebész szakorvosi feladat!

Csírahiány

Fejlődő társadalmunkban egyre gyakoribb, hogy bizonyos fogak nemcsak nem fejlődnek ki, hiányzik a csírájuk is. Ezeket aplasiás (csírahiányos) fogaknak nevezzük, és a Bolk-féle terminális redukciós elmélet értelmében az egyes fogcsoportok utolsó képviselői tűnnek el legvalószínűbben. A felső kismetszők, alsó-felső második kisőrlők és az alsó-felső harmadik nagyőrlők (bölcsességfogak) egyre gyakrabban csírahiányosak. A bölcsességfogak esetében sokszor örülünk az aplasiának, a többi fognál vagy fogpótlással, vagy fogszabályozási úton a kialakult foghiányt zárni kell. Javaslom a fogszabályozással járó módszert, mivel így nincs szükség a fogak csiszolására, vagy mesterséges fogpótlások (implantátum) beültetésére.

Csontpótlás

Csontpótlás alatt egy olyan szájsebészeti beavatkozást értünk, mely a rendelkezésünkre álló csontmennyiség növelését teszi lehető valamilyen csontpótló anyag segítségével. Ez lehet a saját szervezetből nyert csontőrlemény (csípőlapátból, vagy a felső állcsont leghátsó részéből), vagy készen kapható, külső forrásból származó anyag (leggyakrabban sterilizált marhacsontból származó csontőrlemény). Manapság rutinszerűen végzett, nagy sikerrátájú beavatkozás. Helyi érzéstelenítésben a szájsebész szakorvos kolléga lefejti az ínyt és a csonthártyát a csont felületéről. Ezt követően a csontszövetet több helyen felérdesíti, perforálja a jobb vérellátás biztosítása érdekében, majd csontpótló anyagot helyez a megfelelő területre. A csontpótló anyagot sokszor egy úgynevezett membrán segítségével rögzítik. Végül az ínyszövetet lehetőleg feszülés nélkül visszavarrja a helyére. A gyógyulási idő kb.: 2-3 hét, a teljes csontosodáshoz pedig 3-6 hónap szükséges.

Mikor lehet szükség csontpótlásra?

  1. Implantációs fogpótlások készítése előtt, közben.
  2. Fogszabályozó kezelés megkezdése előtt, ha bizonyos területeken nem áll rendelkezésre elegendő mennyiségű csontszövet. Ez legtöbbször az alsó metszőfogak előtti területet jelenti.
D
D-gainer

A D-gainer készülék tulajdonképpen egy részleges rögzített fogszabályzóként fogható fel, melyet elsősorban gyerekeknél, korai vagy késői vegyesfogazatban alkalmazunk. Szintén önligírozó bracketeket használok a D-gaineres kezeléseknél. A rendszert a felső első nagyőrlők, és a négy felső metszőfog alkotja, melyeket ugyanúgy fogszabályzó ívvel kötünk össze., mint a teljes rögzített fogszabályzónál. A nagyőrlők és a metszőfogak közé az ívre egy hosszú tolórugót helyezek. A D-gainerrel jelentős mértékű helyet lehet teremteni a felső fogívben, illetve nagyfokú oldalirányú tágítás végezhető. Alkalmas az előrehelyezett felső nagyőrlők hátravitelére, főként hátraforgatására. Tipikus indikációja, ha a felső állcsontban nincs elegendő hely a szemfogaknak.

Delaire maszk

Másik nevén arcmaszk. A Headgearhez hasonlóan extra-intraorális készülék, tehát kivehető és rögzített részből áll. Rögzített része a szájban helyezkedik el (intraorális), kivehető része pedig az állcsúcson és a homlokon támaszkodik (extraorális). A rögzített rész lehet hyrax, splint hyrax vagy minilemez. A rögzített és kivehető elemet egy rugalmas gumi köti össze, amelyet a páciens magának fel tud helyezni. Ez gyakorlatilag egy nagyon erős intermaxilláris gumi. A gumik hamar elfáradnak, naponta cserélni kell őket. Az arcmaszk a felső állcsont növekedésének serkentésére alkalmazott készülék. A felső állcsontot segítségével képesek vagyunk mobilizálni, és előrefelé mozgatni. Bulldogharapásnál, tehát Angle III. osztályú eltéréseknél használjuk. A kezelés időzítése kulcsfontosságú, mindenképp gyermekkorban, a növekedési kiugrás előtt (8-10 év), legkésőbb közben (11-13 év) kell alkalmazni. A kezelés hossza kb. 6-12 hónap. Kontrollok gyakorisága: 4 hét. A kezelés befejeztével érdemes valamilyen kivehető készülékkel (Fränkel III, myofunkcionális trainer) a kialakított állcsontviszonyt megőrizni. Amennyiben a kezelés végére már maradófogazati stádium figyelhető meg, úgy javasolt a teljes rögzített fogszabályozó készülék ragasztása.

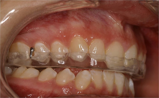
Dezorientációs sín

Általában az alsó fogív fogaira készült átlátszó sínről beszélünk, melynek rágófelszínén átlátszó akrilát van. Súlyosabb állkapocsízületi problémák kezelésénél használjuk. A sín lényege, hogy egyenletes, sima felszínt biztosít a felső fogívvel történő érintkezés során. Ezáltal kiiktatjuk a kóros fogérintkezéseket, relaxáljuk a rágóizmokat, és az ízület a számára legkényelmesebb helyzetbe kerülhet.

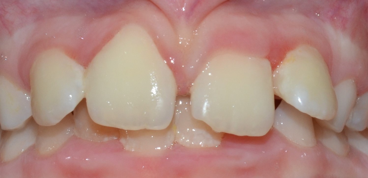
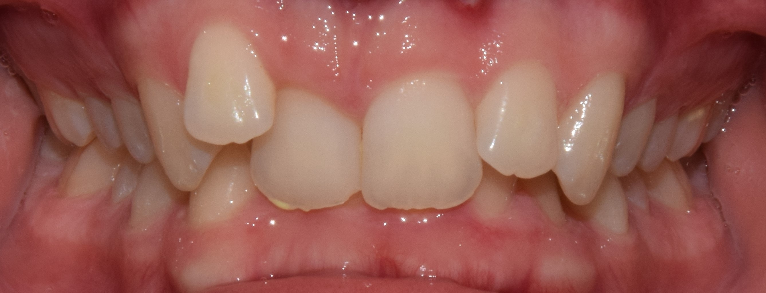
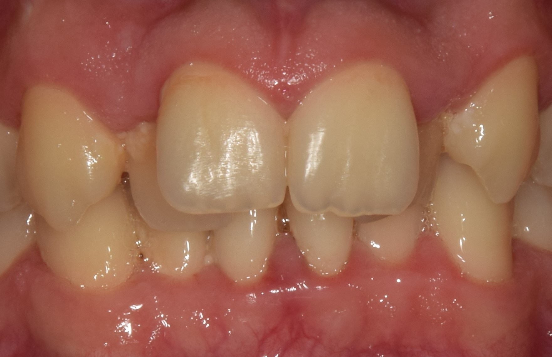
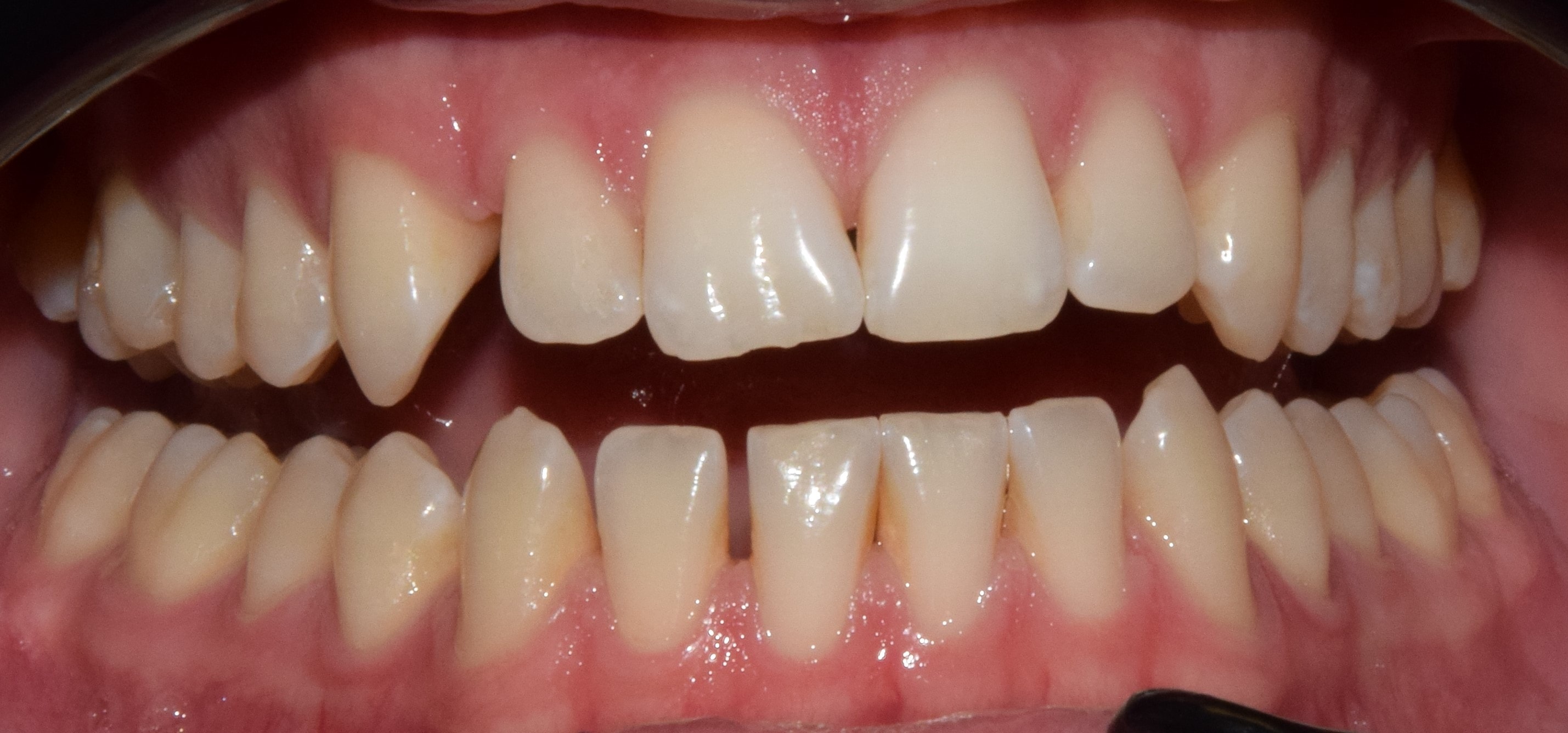
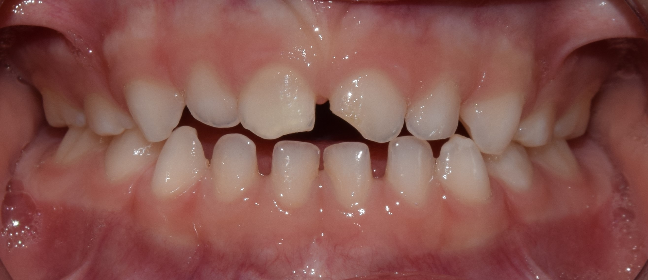
Diasthema medianum

Gyakori fogszabályozási probléma a két felső nagymetsző között jelentkező rés. Ellátását számos faktor befolyásolja. A vegyesfogazatban gyakori, legtöbbször normális jelenség, ami később spontán záródhat, ezért túlságosan korai ellátását semmi sem indokolja. Diasthemat eredményezhet például kifejezett ajakfék, számfeletti fog, kismetsző csírahiány.

Disztalizáló készülékek

Disztalizálás alatt a teljes felső vagy alsó fogív hátra vitelét értjük. A modern fogszabályzás egyik legnagyobb fegyvere a torlódások és a nyílirányú eltérések (disztálharapás, meziálharapás) kezelésére. Minden esetben fogszabályozási miniimplantátum szükséges a korrekt disztalizáláshoz.

Alsó fogív disztalizálására az alsó állcsont hátsó őrlőfogak mellett-mögött lévő csonttaréját használjuk. Ide tekerjük be a minicsavarokat. Kiváló csontminőségű, megbízható területről van szó, ahol kevés anatómiai akadály van.

Felső fogív disztalizálására rengeteg különböző készüléket alakítottak ki, ebből is látszik, hogy a disztálharapás igen gyakori eltérés. Két fő módszert különböztetünk meg.

  1. Disztalizálhatunk a crista infrazygomatica nevű csonttaréjba helyezett minicsavarok segítségével. Ekkor a miniimplantátumot és a fogszabályozó ívet füzérgumi, húzórugóval vagy füzrégumival kötjük össze, ennek hatására pedig a felső fogív hátrafelé, a minicsavar felé fog elmozdulni. Előnye, hogy egyszerű, gyors és hatékony rendszer. Hátránya, hogy a crista infrazygomatica csontminősége sokszor silány, és anatómia akadályt képez az arcüreg, ami növeli a csavar sikertelenségének valószínűségét. Sikerességi rátája 90% fölötti.
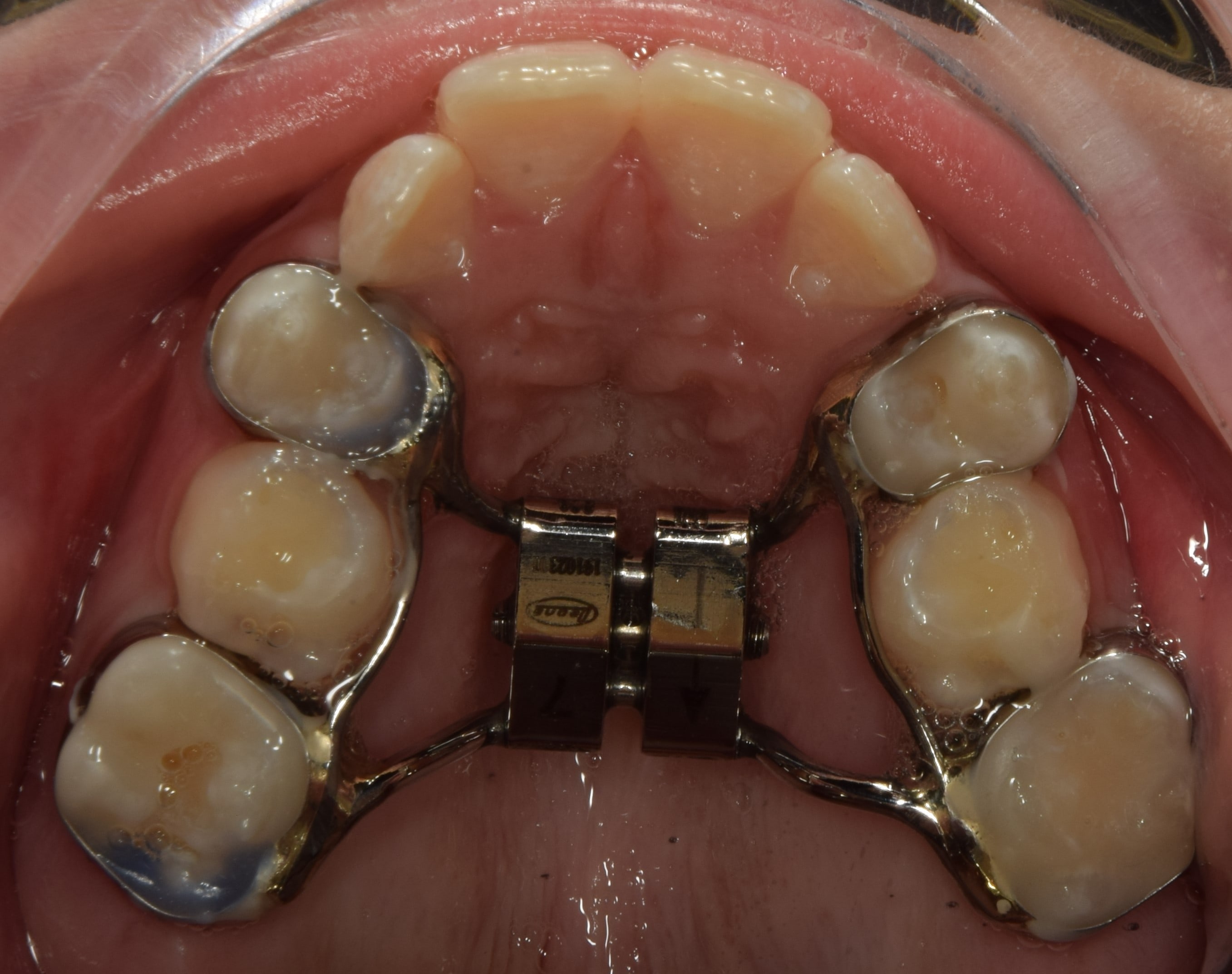
  2. Jóval gyakoribb a szájpad különböző területeire behelyezett miniimplantátumok segítségével történő disztalizálás. Végtelen számú készülék van erre a célra, én a TOP JET disztalizálót használom. Ez két darab, a felső szemfog-első kisőrlő szájpadi oldalára betekert miniimplantátumból, két darab rugós teleszkópból, valamint egy a felső első őrlőfogakon gyűrűvel rögzülő, szájpadot áthidaló acélívből áll. Előnye, hogy a szájpad ezen részén nagyon megbízható, kiváló minőségű csontállomány található, a kezelés kiszámítható, illetve egyedülálló tulajdonsága, hogy nincs szükség fogtechnika bevonására (legfeljebb a szájpadív+gyűrű elkészítésére, de a készülék maga előregyártott, egyszerűen adaptálható). Hátránya, hogy igen drága. Sikerességi rátája 95% fölötti.
Disztálharapás

A disztálharapás egy harapási eltérés megnevezése, másik megnevezése az Angle II. osztályú harapás. Disztálharapás esetén az alsó állcsont a felsőhöz képest hátrébb helyezkedik el (a nyílirányú síkban). Gyermekkorban kiválóan kezelhető különböző funkcionális fogszabályzó készülékekkel. Felnőttkorban kompenzációs kezeléssel tudjuk korrigálni az ehhez hasonló eltéréseket (disztalizálás/foghúzás/intermaxilláris gumihúzás), vagy súlyos esetben szájsebészeti műtéttel oldjuk meg a disztálharapást.

E
EVA-platte

A felső első őrlőfogakon gyűrűvel rögzülő rögzített harapásemelő készülék. A hatos fogaktól a kisőrlő fogak belső felszínét érintve vékony acélív halad előre. Az acélív elülső részére a felső kismetsző – kismetsző fogig akrilát műanyagot polimerizálnak. Gyakorlatilag a felső metszőfogak mögötti szájpadot akriláttal töltik fel. Extrém mélyharapásban használatos készülék, melynek lényege, hogy megszünteti a fogérintkezést az oldalsó fogak területén. Eleinte kizárólag az alsó metszőfogak érintkeznek a készülékkel. 3-6 hónap elteltével az oldalsó fogak spontán előemelkednek, és az alsó-felső fogív már oldalt is érintkezni fog. A mélyharapás ezáltal megszűnik. Igen kényelmetlen, ám extrém mélyharapásnál szinte az egyetlen, gyorsan eredményre vezető készülék.

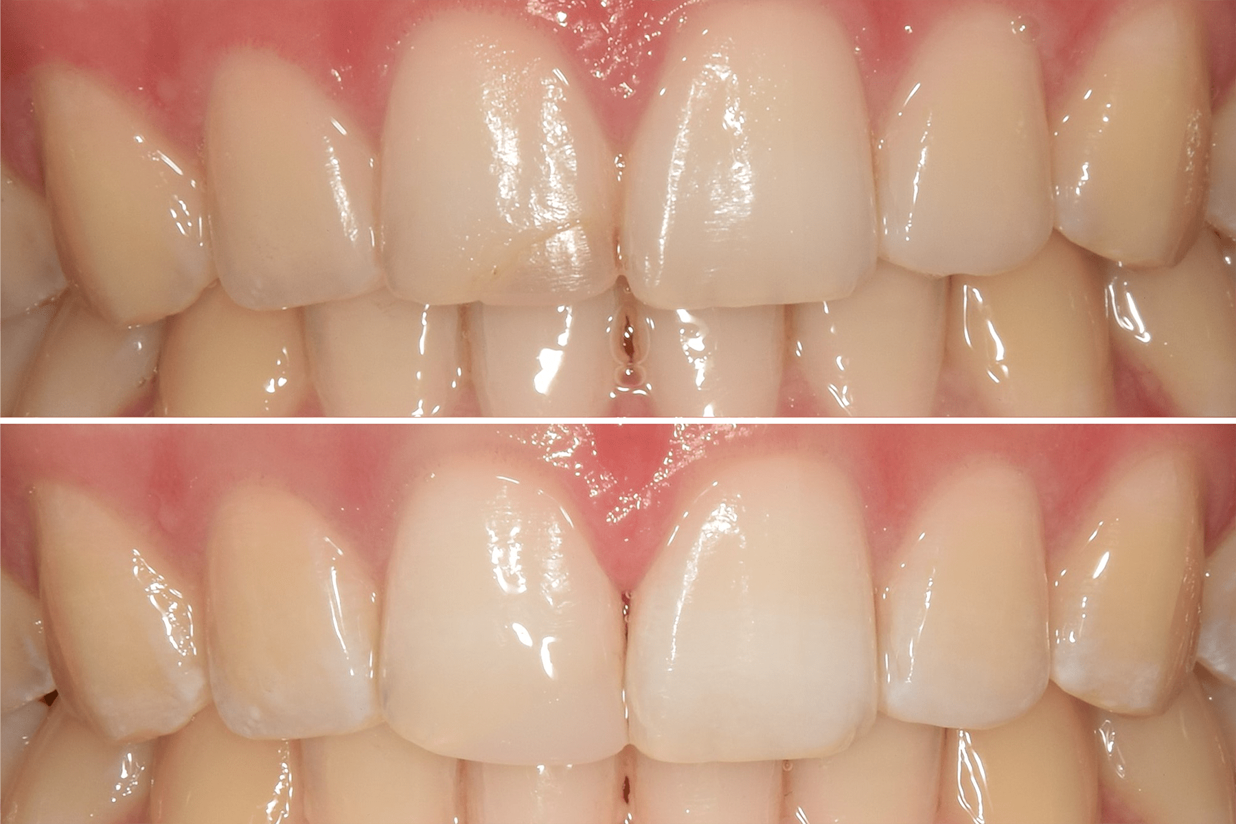
Élpótlás

A felső metszőfogak éli részének esztétikai korrekciója. Készülhet csiszolás nélkül, közvetlenül a fogorvos által, ilyenkor a magas minőségű tömőanyagok segítségével a saját fogtól megkülönböztethetetlen tömés készíthető. Kisebb eltéréseknél javasolt eljárás. Nagyobb egyenetlenségek korrigálására a fog minimális csiszolásával járó héjak készítése a megfelelő választás, amiket fogtechnikus készít el precíziós lenyomat alapján. Ezek általában kerámiából készülnek, szintén hihetetlen pontossággal és esztétikával. Manapság már lehetőség van a kívánt végeredmény vizualizálására mosolytervező szoftver segítségével, sőt, a mosolytervező szoftverbe integrálható egy intraorális scannerel vett lenyomat is, amire a fogtechnikus közvetlenül tudja elkészíteni az élethű héjpótlásokat! A technika ezen a téren a végtelenbe és tovább fejlődik!

F
Ferdesík

Elülső felső metszőfog/metszőfogak keresztharapásának kezelésére kifejlesztett fogszabályozó készülék, mely lehet rögzített vagy kivehető is. A rögzített ferdesík az alsó metszőfogakon rögzülő túldimenzionál akrilát blokk, amelyet a metszőfogakra ragasztunk, azokat teljesen befedi. A kivehető ferdesík nagyjából ugyanígy néz ki, viszont nincs ráragasztva az alsó metszőfogakra, hanem egy egyszerű tágítócsavaros lemezhez kapcsolódik. Az étkezés igen nehéz vele, viszont nagyon rövid idő alatt elérhető vele a kívánt eredmény. Általában gyermekkorban használjuk előkezelésként. Hordási idő: 0-24. A kezelés hossza: 3 hét.

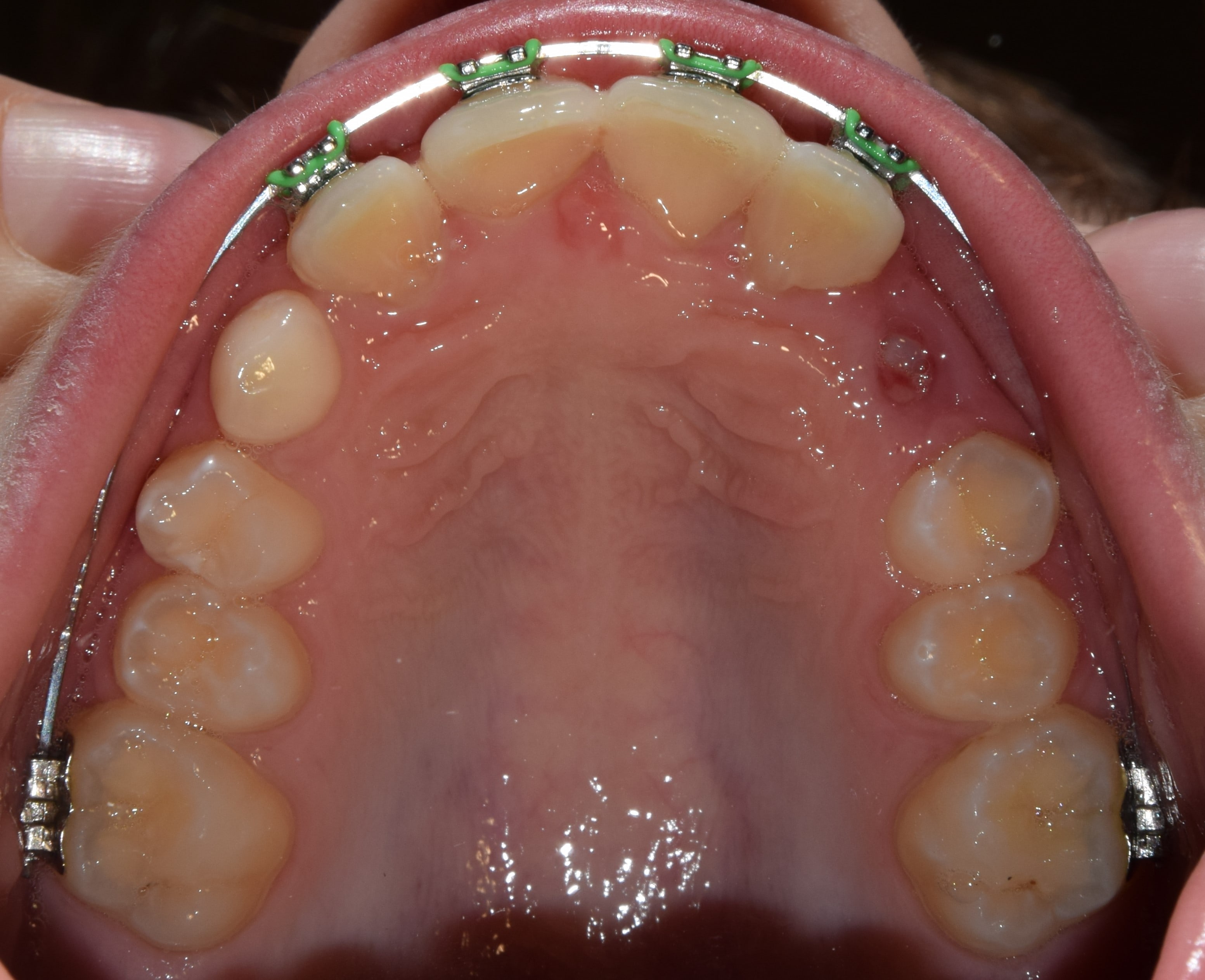
Fix retainer

A fix retainer nem más, mint a fogszabályzó kezelés végén a fogak belső felszínére ragasztott, általában speciális lapos, sodort ív, mely megakadályozza a fogak jövőbeli elmozdulását. Felnőtt fogszabályzás során gyakran használt technika. Felső fogíven kismetszőtől-kismetszőig 4 fogon, az alsó fogíven szemfogtól-szemfogig 6 fogon van rögzítve. Amennyiben lehet, kerülöm a használatát, mert borzasztóan megnehezíti a megfelelő szájhigiénét, illetve előfordulhat, hogy leesnek (általában karácsonykor, vagy munkaszüneti napokon 😊 ). A nem megfelelően beállított fix retainer nem kívánatos fogelmozdulásokat is okozhat! Ez a jelenség nagyon gyakori. A legbiztosabb módszer azonban az elülső fogak elmozdulása ellen továbbra is a fix retainer használata, ezért közös megbeszélés után, kérésre természetesen alkalmazok fix retainert.

Fogágy

A fogágy a fogat körülvevő lágy- és keményszövetek összessége. A fogágy alkotója a fogíny, az állcsontok fogmedernyúlványa, a fogágyban található speciális rostok (gyökérhártya) és a foggyökér cementállománya. A fogágy a fogak rögzítéséért felelős komplex rendszer. A fogágynak köszönhető, hogy fogainkkal akár a nyomást is képesek vagyunk érezni, illetve a fogágy felelős a rágóerők közvetítéséért is.

Kóros esetben fogágygyulladás alakulhat ki, mely a fogszuvasodás után a fogelvesztések második leggyakoribb oka. Fogágygyulladást okozhat fogkő, idegentest, de kialakulhat genetikai öröklődés útján is (elsősorban agresszív formája). A fogágygyulladás legtöbbször lassú folyamat, melynek során csontfelszívódás jön létre, ezáltal a fogak egyre inkább mozgathatóvá válnak, ami hosszútávon fogelvesztéshez vezet.

A fogágy kórképeivel foglalkozó tudományág a parodontológia, és az ezzel foglalkozó szakfogorvosok pedig a parodontológusok. A fogágy megbetegedéseinek kezelése mindenképp parodontológus kolléga közreműködésével kell történjen. A fogszabályozás és a parodontológia számos esetben kapcsolódhat egymással, és nagyon gyakori a két szakág közötti együttműködés. Fogszabályozó kezeléssel számos fogágybetegség kezelésének eredménye javítható, a parodontológiai terápia segíthető.

Fogászati implantátum

A fogimplantátum nem más, mint a csontszövetbe ültetett, a környező szövetekkel teljesértékű kapcsolatot létesítő, az emberi szervezet számára befogadható anyagból készülő (biokompatibilis) fogpótlás. Valójában az implantátum csak a természetes fog gyökeréhez hasonlítható, és erre készül el fogtechnikai laboratórium segítségével a természetes fogak koronai részét pótló fogpótlás (korona, hídpótlás stb). Speciális bevonatú titán anyagból készült „műfoggyökerekről” beszélünk, amelyek a csontban tökéletesen rögzülnek, és rájuk fogpótlás készíthető.

Fogszabályozó kezelések segítségével az implantátumok behelyezésének feltételei, ezáltal az implantátumok hosszútávú sikeressége nagyban javítható. Fogszabályozással képesek vagyunk a fogászati implantátumok számára fennálló helyett módosítani, optimalizálni, sőt akár a rendelkezésre álló csontmennyiséget is tudjuk növelni.

Fogékszer

A felső elülső fogak éli harmadába ragasztható csillogó ékszerkövek a fogékszerek. Legtöbbször a felső kismetszőkre szoktuk felhelyezni. Csak a fogszabályozó kezelés retenciós fázisa után lehet valakinek fogékszere, hiszen az éjszakai fogszabályozó viselését megnehezítheti.

Fogkorona

Formai rendelleneséggel rendelkező, vagy súlyosan sérült fogak esztétikájának és rágófunkciójának helyreállítására koronát alkalmazunk. Ha a fogból túl nagy mennyiségű egészséges foganyag hiányzik, akkor helyreállítása biomechanikailag nem lehetséges egyszerű fogtöméssel. A fog előkészítése, csiszolása után lenyomatot veszünk, mely alapján a fogtechnikus egyénileg készíti el a szükséges koronát, mely formájában, színében tökéletesen passzolni fog a többi foghoz. Nagyon gyakran használjuk letört, gyökérkezelt fogak ellátására, valamint rendellenesen kis méretű kismetsző fogak helyreállítására. A végleges koronák anyaga fém-kerámia, vagy tisztán kerámia lehet, míg az ideiglenesek a tömőanyaghoz hasonló műgyantából készülnek.

Fogkő

A fogkő a fogak felszínére tapadt dentális plakkból alakul ki. Amennyiben a plakk hosszú időn át nem kerül eltávolításra, úgy mineralizálódni kezd, tehát ásványi anyagokat vesz fel, és fogkővé alakul. A fogkő már fogkefével sem távolítható el semmilyen módon, mindenképp fogorvosi/dentálhigiénikusi beavatkozást igényel. A friss fogkő krétafehér színű és puhább szerkezetű, míg a régebb óta jelenlévő fogkő sárgás-barnás színű, igencsak kemény. Megkülönböztetünk az íny szintje felett (supragingivalis) és alatt (subgingivalis) elhelyezkedő fogkövet. A hasonlóan elhelyezkedő plakkból származnak, és itt is az íny szintje alatt kialakuló fogkő a veszélyesebb. A fogkő hosszútávon a fogakat körülvevő fogágy sérüléséhez, rajta könnyen tapad meg a dentális plakk, és a felhalmozódott baktériumok gyulladást, csontfelszívódást és akár fogvesztést is okozhatnak. Fontos tehát a fél évente történő fogorvosi kontroll, szükség esetén pedig professzionális szájhigiénés kezelés, fogkőeltávolítás. Vannak egyének, akik hajlamosabbak fogkő kialakulására, náluk ez gyakrabban javasolt. Fogszabályozó kezelés mellett különösen fontos a fogkő kialakulásának megakadályozása, ezért gyakran 2-3-4 havonta végzünk professzionális szájhigiénés kezelést.

Fogkőleszedés

A fogak felszínén keletkezett fogkő eltávolítása ultrahangos fogkőleszedő (depurátor) segítségével történik. A folyamat neve a depurálás, vagy fogkőleszedés. Lényege, hogy az ultrahangos frekvencián rezgő eszköz segítségével a fogkőben apró légbuborékokat képzünk, melyek hatására a fogkő szétesek, és a fog felszínéről leválik. A folyamat vízhűtés mellett zajlik, hogy elkerüljük a magas frekvencia miatt a fog és eszköz túlmelegedést. A fogkőleszedés után én minden esetben homokfúvást is végzek, majd ezt követően a fogakat fluorid tartalmú polírozó pasztával átpolírozom. Ezzel csökkenthető a fogkőleszedés utáni fogérzékenység, mely általában 1-2 napig tart. A fogkőleszedés ideális esetben nem fájdalmas kezelés, inkább a hanghatások kellemetlenek. Amennyiben valakinek már kialakult problémája van, pl.: fogágybetegség, ínyvisszahúzódás stb., és a fogkőleszedés során jelentős fájdalmat érez, úgy érzéstelenítő segítségével a folyamat teljesen fájdalommentessé tehető. Manapság minden fogászati rendelőben ultrahangos fogkőleszedő segítségével végezzük ezt a beavatkozást. Fogszabályozó kezelések alatt 3-4 havonta javasolt a fogkőleszedés, mivel a bracketek igencsak megnehezítik a 100%-os szájhigiéné fenntartását. Általános fogászati szempontból, amennyiben nem áll fent egyéb fogággyal kapcsolatos panasz, úgy 6-12 havonta javasolt.

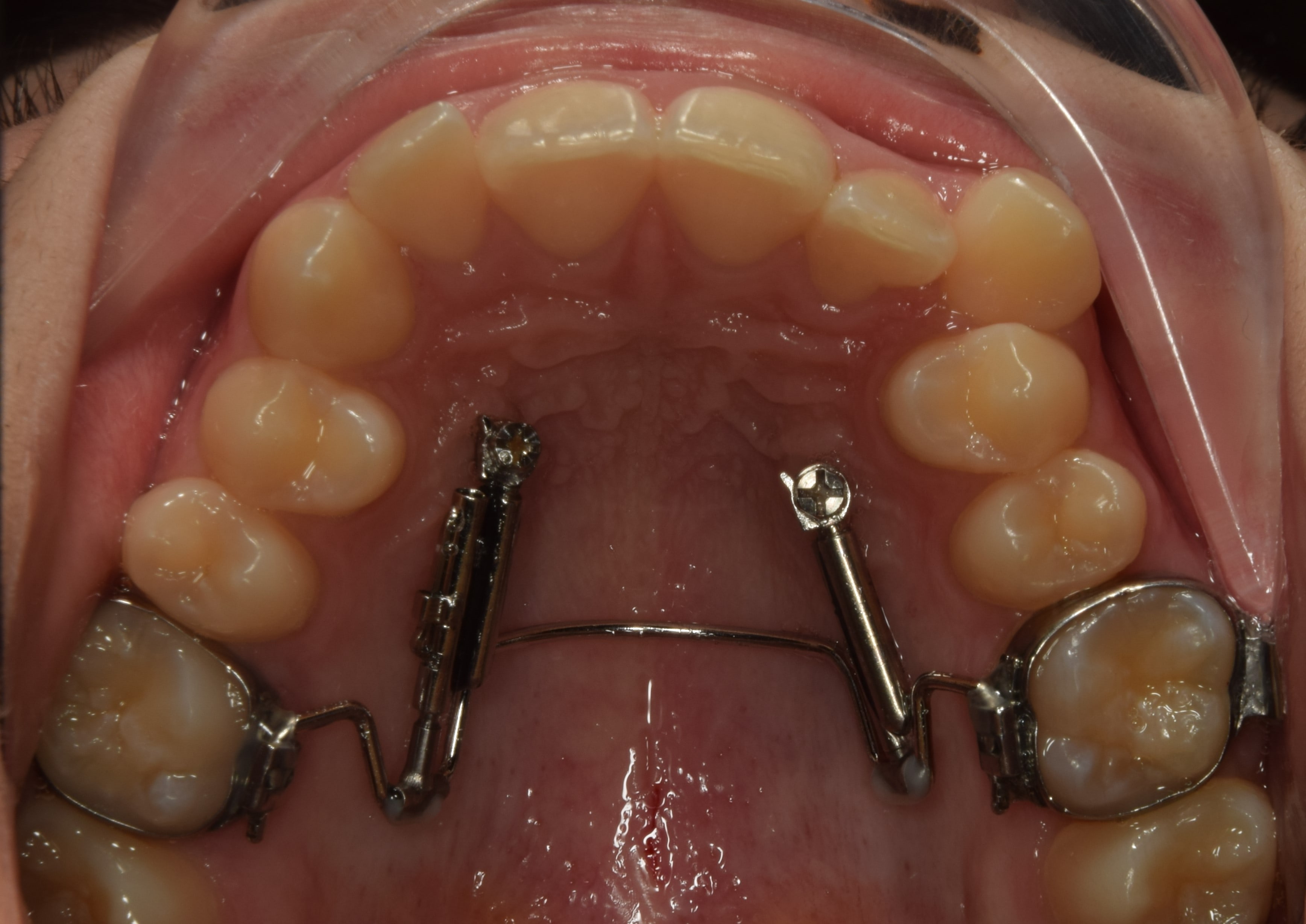
Fogszabályozási miniimplantátum

A modern fogszabályozó kezelések alappillérei a fogszabályozási miniimplantátumok. Óriási előnyökkel jár használatuk, és a kezelések sikerességét hihetetlen mértékben megnövelik. Miniimplantátumok segítségével a korábban csak műtéttel, foghúzással kezelhető pácienseket egyszerű fogszabályozással is tökéletesen kezelni tudjuk! Az önligírozó fogszabályozó rendszerek és miniimplantátumok kombinált használata talán a legsikeresebb technikát jelenti jelenleg. Nagyon minimális helyi érzéstelenítésben történik behelyezésük, mely nagyjából 20-40 másodpercet vesz igénybe! Az injekciót leszámítva teljesen fájdalommentes beavatkozás! A fogszabályozási miniimplantátumok a fogászati implantátumokkal szemben nem kerülnek szoros kapcsolatba a környező szövetekkel, ezáltal későbbi eltávolításuk igazán egyszerű, érzéstelenítő sem szükséges hozzá. Technika- és szájhigiéné érzékeny rendszerről beszélünk. Nem megfelelő fogmosás következményeként a minicsavarok meglazulhatnak, kieshetnek.

Behelyezési területük szerint három fő csoportot különböztetünk meg:

  1. A gyökerek közé helyezett miniimplantátumok
    Ezeket a miniimplantátumokat a fogak gyökerére merőlegesen helyezzük be, a gyökerek közé. Pontos helyzetüket előzetes kisröntgen alapján határozzuk meg. Ezekkel végezzük a foghiányok zárását, bizonyos fogak pozícióban tartását, elülső fogak felfelé/lefelé mozgatását stb.
  2. A gyökereken kívül helyezett miniimplantátumok
    Egyre népszerűbb technika, melynek során a minicsavarokat vagy a felső őrlőfogak melletti csonttaréjba (crista infrazygomatica), vagy az alsó őrlőfogak melletti csonttaréjba tekerjük. Előnye, hogy a foggyökereken kívüli területen rögzül a csavar, így nem akadályozza a fogak mozgatását. Segítségével teljes alsó/felső fogív előre/hátra mozgatás is végezhető.
  3. A szájpadba helyezett miniimplantátumok (szintén a gyökereken kívül)
    Nagy sikerrel alkalmazott, biztos, kiváló csontminőségű behelyezési terület a szájpad. A szájpad középvonalába, vagy enyhén mellé helyezzük be a minicsavarokat, amikkel a felső fogív hátra/előrevitele, és felfelé mozgatása is sikerrel végezhető. Nem kell tehát félni a miniimplantátumoktól, minden esetben nagymértékben segíthetnek minket a tökéletes végeredmény elérésében. Sikerességi rátájuk 95% körül mozog! Akkor is ismertetem használatukat, ha nem biztos, hogy szükség lesz rájuk, hiszen biztosra megyünk és tökéletes mosolyt és harapást szeretnénk.
Fogszabályozási minilemez

A fogszabályzási minilemez célja hasonló a fogszabályozási miniimplantátumokéhoz. Betonbiztos horgonylati megoldás, mely során a csont felszínén 2-4 minicsavarral rögzítünk egy kisméretű lemezt. A minilemez, mivel sok csavarral rögzül, jóval stabilabb, mint az egyszerű fogszabályozási miniimplantátum. Nagy hátránya, hogy mind a behelyezése, mind az eltávolítása helyi érzéstelenítésben végzett műtéttel zajlik, ami megterhelő lehet pácienseim számára. A műtét kb. hasonlóan zajlik, mint egy fogimplantátum behelyezésénél. A műtét technikai nehézségei miatt ára is sokszorosa a miniimplantátumokénak. Kiválóan végezhető minilemezek segítségével teljes alsó és/vagy felső fogív hátravitel, felső fogív felfelé mozgatása (ínymosoly esetén).

Fogtömés

A klasszikus értelemben vett tömésen a fog rágófunkcióját helyreállító, a baktériumok további szaporodását meggátló és a fogbél egészségét védő kék fényre polimerizálódó, műgyanta alapú anyagot értünk. A napjainkban használt tömőanyagok esztétikusak, tehát a fog színével megegyezők. A helyes fogszínt a kezelőorvos választja ki, metszőfogaknál ez egy különösen fontos lépés. A tömések kiterjedésük szerint lehet 1, 2 vagy akár többfelszínűek. Általában minél több felszínű egy tömés, annál több fertőzött foganyagot távolítottunk el a fúrás során, így annál nagyobb lesz a tömés kiterjedése is. Mára a tömések nagyon megbízható, fogmegőrző célból készített restaurátumok, amik helyesen elkészítve akár 10-15 évig is kiválóan funkcionálhatnak. Fontos, hogy fél évente fogászati kontrollvizsgálatra menjünk, a tömések épsége csak így őrizhető meg!

Fotódokumentáció

A fogszabályzó kezelés előtt-alatt-után rendszeresen készítünk fényképeket. Ez egy külön erre a célra összeállított tükörreflexes fényképezőgéppel történik. Nem a legkellemesebb élmény a fogszabályozás során, de utána nagyon jó lesz visszanézni a képeket. Sok fontos információt nyerhetek ki a készített fotókból, olyanokat is, amelyeket esetlegesen szájban nem veszek észre (nagyon kis méretűek), de egy nagy monitoron már könnyedén. A fotódokumentáció tehát még pontosabbá, precízebbé teszi a kezeléseim, és segít a maximum elérésében.

Füzérgumi

A bracketeket összekötő gumiról beszélünk. Mind hagyományos, mind önligírozó technikánál sokat alkalmazzuk. Ezekkel történik a részárások zöme, valamint használható az elfordult fogak beállításának gyorsítására is. Az általam használt füzérgumi magas minőségű latexból készül, így akár 2-3 hétig is képes leadni az eredeti erőt döntő többségét.

G
Gombocska

Legtöbbször a fogak belső felszínére ragasztott fémgomb, mely a bracketekhez hasonló módon rögzül, ám azoknál jóval egyszerűbb. Alkalmas kiegészítő elemek rögzítésére (füzérgumi, intermaxilláris gumihúzás), melyet nagyon gyakran alkalmazok a felső fogív tágítása során. Az első pár napban igen kényelmetlenek, de hamar megszokhatók.

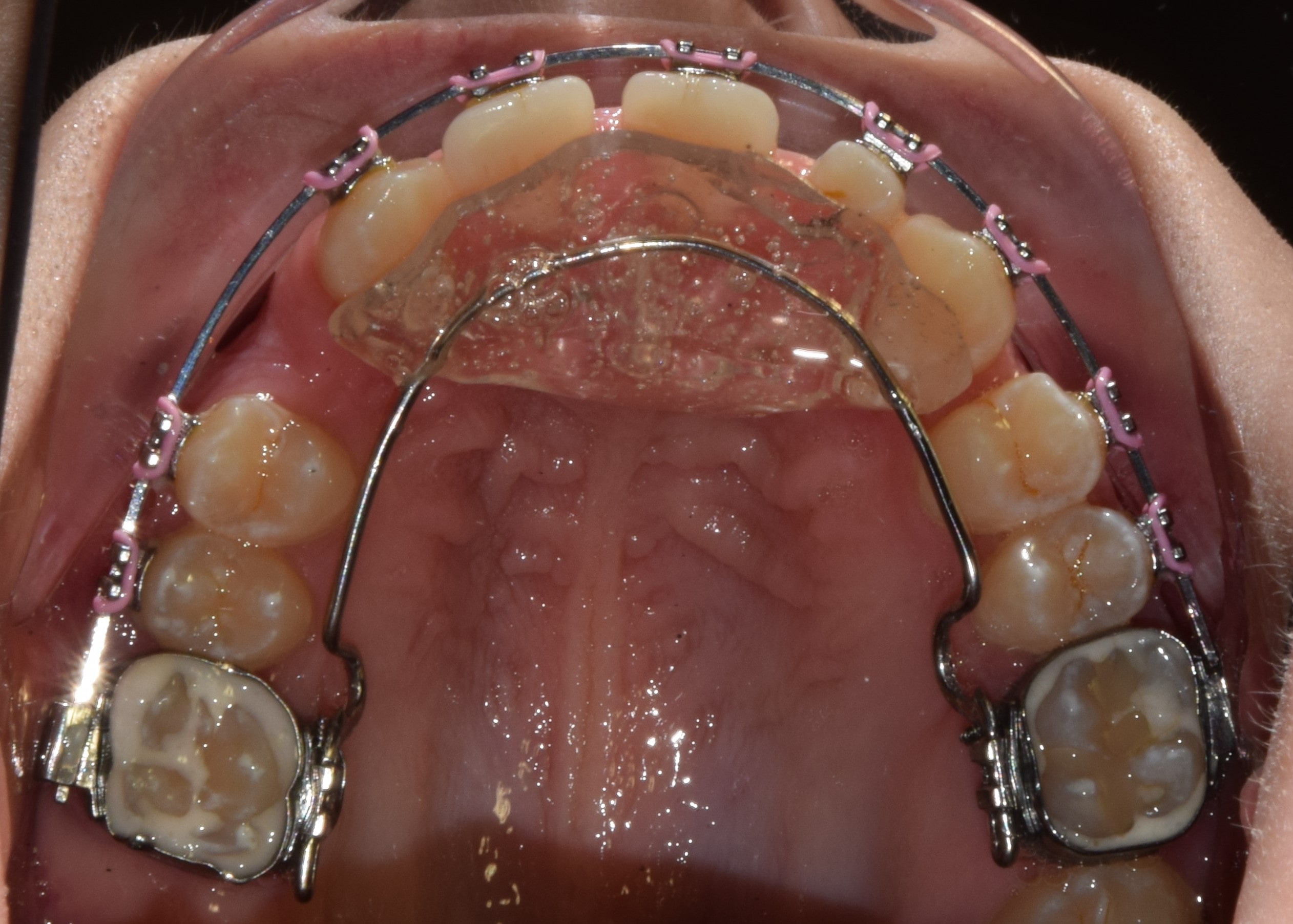
Goshgarian

Sokak által „szájpadtágító”-ként ismert készülék, mely a felső első őrlőfogakon rögzülő gyűrűből és az őket összekötő, szájpadot áthidaló acélívből áll. Az önligírozó fogszabályozókkal hasonló mértékű tágítás végezhető, ezért használatát szinte teljesen mellőzöm. Legtöbbször felső állcsont tágítás (hyrax) után használom az elért eredmény megtartására. Alkalmas még az első felső őrlőfogak különböző irányú forgatására is, viszont mivel erre is van egyszerűbb megoldás, ezért ritkán élek ezzel a lehetőséggel.

Gyökérfelszívódás

A gyökérfelszívódás a foggyökér megrövidülését jelenti. Tejfogazatban ez egy kívánatos reakció, mely a növekvő maradófog miatt jön létre. A maradófog hatására a tejfogak gyökere elkezd felszívódni, a tejfog meglazul, majd végül kiesik és helyét átveszi a megfelelő maradófog. Sajnos ez a folyamat maradófogazatban is megfigyelhető. Oka lehet fogakat ért baleset, trauma, súlyos fertőzés, de fogszabályozó kezeléseknél is előfordul. Ennek megfelelően a gyökérfelszívódások csoportosítása: belső - gyulladásos eredetű (pl.: fogbélgyulladás miatt), felületi (fogszabályozás során) és helyettesítő (balesetet szenvedett fogaknál).

Fogszabályozás során felületi, gyulladásmentes gyökérfelszívódás alakulhat ki. Fontos tisztában lenni azzal a ténnyel, hogy gyökérfelszívódás minden fogszabályozó kezelés során fellép, csupán oly kis mértékű, hogy nem lehet diagnosztizálni! A fogmozgatás miatt a foggyökerek csúcsa lekerekedik, majd a kezelés végén spontán helyreáll.

Ritkán, súlyos esetben a foggyökér jelentős megrövidülése jön létre. Ennek mértéke megjósolhatatlan, akár a fog meglazulásához, elvesztéséhez is vezethet. Legtöbbször 1-1 fogat érint, a generalizált, teljes fogazatot érintő gyökérfelszívódás extrém ritka.

Kialakulásának pontos oka még nem ismert, több faktor együttes jelenléte szükséges, és valószínűleg genetikai háttere is van. Hajlamosító tényező lehet a korábban balesetet szenvedett fog, vagy ha a kezelés során túl nagy erőkkel mozgatjuk a fogakat. Az önligírozó fogszabályzók helyes használatával ennek lehetősége minimalizálható.

Gyűrű

Általában őrlőfogaknál használt, a teljes fogat körülölelő fém fogszabályzó alkotóelem, melyre tubus van hegesztve. Vannak olyan rögzített (EVA-platte) és kivehető (lip-bumper, Headgear) készülékek, amelyek használatához elengedhetetlen. A fogágyra igen negatív hatással van, ezért használatát minimálisra csökkentettem, de amikor szükséges, jó szolgálatot tesz.

H
Harapásemelő

Harapásemelők alatt a fogak rágó (oldalsó fogaknál), vagy belső (elülső fogaknál) felszínre ragasztott, színes tömőanyagból készült blokkokat értjük. Ezeknek köszönhetően eltávolodik egymástól az alsó felső fogív, és mivel a fogak nem érintkeznek egymással, gyorsabb és fájdalommentesebb a fogmozgatás. További nagy előnyük, hogy mivel az alsó-felső fogív a kezelés elején csak a harapásemelőkön érintkezik egymással, így a bracketekre nem lehet ráharapni, azok nem esnek le. Segítségünkre vannak mind a nyitott-, mind a mélyharapás kezelésében. Minden kezelésemnél használok harapásemelőt. Eltávolításuk speciális fúrókkal történik, így a fogzománcot nem sértjük meg.

Háromdimenziós CBCT felvétel

A képalkotó eljárásokban történt rohamos fejlődésnek köszönhetően ma már képesek vagyunk alacsony sugárterhelés mellet kiváló, háromdimenziós képet készíteni testünk bármely részéről. A fogszabályzásban általában impaktált fog helyzetének pontos megítélésére kérünk CBCT felvételt, valamint sebészi fogszabályzó kezelések esetén a teljes arckoponyáról. Kiválóan vizsgálható a fogak és a csontszövet szerkezete, alakja, egymáshoz és a környezetéhez (erek, idegek) való viszonya. A legmodernebb CBCT-k segítségével már a lágyrészek is élethűen leképezhetők, ezáltal egy virtuális arcot is kapunk, amelyen akár a különböző kezelések lágyrészprofilra gyakorolt hatása is szimulálható!

Headgear

A headgear egy úgynevezett extra-intraorális kivehető és rögzített részből is álló fogszabályzási készülék. A kivehető rész, a fejtetőn vagy a nyakon rögzül, a rögzített rész pedig legtöbbször a felső első nagyőrlő fogakra ragasztott gyűrű, továbbá adott egy szintén kivehető kettős acélív. Az ív egyik része a gyűrűbe illeszkedik, másik része pedig a fejtetőn rögzülő pánthoz kapcsolódik egy gumin keresztül. Alkalmas a felső fogív hátravitelére, illetve a felső rágósík billentésére. Képesek vagyunk vele a felső fogakat beljebb nyomni az állcsontba (nyitott harapás esetén), vagy épp ellenkezőleg, lejjebb hozni azokat (mélyharapás esetén). Ma már a fogszabályozási miniimplantátumok gyakorlatilag 100%-ban kiváltották ezt a nehezen tolerálható, nagyfokú kooperációt igénylő készüléket.

Helyfenntartó készülék

A rögzített helyfenntartó egy gyűrűből és az ehhez csatlakozó fém karból áll. A kivehető készülék igazából egy tágítócsavaros lemez, amibe valamilyen helyfenntartó elem van beépítve (legtöbbször a fogszabályozó alap műanyag részét terjesztjük be a foghiány területére, vagy két fém karral a szomszédos fogakat távol tartjuk a foghiánytól).


A kép forrása: https://kieferorthopaedie.com/

Herbst

Az egyetlen rögzített bimaxilláris-funkcionális fogszabályozó készülék a Herbst. Újabb és kényelmesebb, továbbfejlesztett verziójáról szeretnék beszélni, aminek neve MARA. Ez az alsó-felső első őrlőfogakon gyűrűvel rögzül, és az azonos oldali gyűrűket egy erős teleszkóp köti össze. Disztálharapás esetén alkalmazzuk, amikor a páciens még fiatalkorú és növekedésben van, tehát CVMS nyakcsigolya érettség szerinti 3-4 stádiumban. A Herbst készülékkel növekedési irányt tudunk módosítani! Segítségével az alsó állcsont előre helyezhető, növekedése serkenthető. Az állkapocsízületre kedvezően hat, serkenti átalakulását. Előnye, hogy együttműködést nem igényel, valamint kiválóan ellátja feladatát, hátránya, hogy az első egy hétben igen kényelmetlen. Precíziós lenyomat vagy intraorális scan alapján készíti el a fogtechnika a MARA készüléket, amit az őrlőfogakra ragasztunk. Praxisomban háromdimenziós nyomtatással, lézer szinterezéssel készült MARA készüléket használok, mely hihetetlenül pontosan illeszkedik a fogakra, és jóval tartósabb a fogtechnikus saját keze által készített vetélytársaiknál. Akár teljes rögzített fogszabályozóval együtt is alkalmazható, így egyszerre több eltérést is kezelhetünk. Megszokási idő: 5-7 nap.

Héjpótlás

Olyan, legtöbbször esztétikai célból készített fogpótlás, amely beborítja a fog teljes külső felszínét. Egy nagyon vékony kerámia rétegről beszélünk. Főként elülső fogakon alkalmazzuk. Létezik fogcsiszolással járó, és csiszolásmentes változata is. Alkalmas a fogak színének tartós megváltoztatására, valamint a fogak formájának, harmóniájának átalakítására is. Fogszabályozó kezelések végén gyakran alkalmazzuk a 100%-os esztétikai végeredmény elérésének érdekében. Ilyenkor a fogszabályozó kezelés segítségével sorba állítjuk a fogakat, harmonikus harapást alakítunk ki, majd a kezelés végén elkészülnek a héjpótlások (konzerváló fogászatban jártas specialista segítségével). Fogszabályozás helyett is sokan választják a felső elülső fogak gyors, fogpótlással történő korrekciójára, de ne feledjük, minél szabálytalanabbul állnak a fogak, annál több egészséges foganyag elcsiszolására van szükség. A héjak felhelyezésének továbbá alapfeltétele a harmonikus harapás jelenléte/kialakítása. Ennek hiányában a héjak könnyen sérülhetnek. Csak azoknak javaslom a héjpótlást, akiknek az elülső, esztétikus régióban olyan problémájuk van, amely pusztán fogszabályozással nem kezelhető (pl.: nagyon elszíneződött vagy letöredezett fog).

Homokfúvás

A homokfúvás a professzionális szájhigiénés kezeléseim alapja. A fogszabályozó aktiválása után is gyakran használom. Homokfúvó készülék segítségével nagy nyomással néhány mikrométer nagyságú, speciális fogorvosi homokszemeket fújok a fogak felszínére (ezek ízesítve is vannak, bár enyhén sósak). A homokfúvás könnyedén eltávolítja a fogak felszínéről a különböző elszíneződéseket, lepedéket, sőt akár a friss, kis mennyiségű fogkövet is. A fogzománcot nem károsítja. A homokfúvást követően a fogak felszíne szépen csillog, és a fogak sokszor fehérebbnek is hatnak. Amennyiben a szájhigiéné nem volt megfelelő, úgy a gyulladt íny enyhén vérezhet, ez néhány perc alatt elmúlik. Nagy mennyiségű vizet használunk a homokfúvások során, de a húsvéti locsolkodás elkerülésére az arcot, ruházatot letakarjuk. További pozitív hatása, hogy az általam használt önligírozó bracketeket is kiválóan megtisztítja.

Húzórugó

Foghiányok és rések zárására alkalmazott rugótípus, mely az ívekhez hasonlóan nikkel-titániumból készül. A húzórugóból kisebb méretűt választunk, mint a foghiány/rés mérete. Ezt követően a rugó egyik végét a foghiányt/rést határoló fog bracketjének kampójára akasztjuk, másikat pedig a másik határoló fogon található bracket kampójára. Mivel a kiválasztott rugó hossza rövidebb, mint a foghiány, ezért a két bracket kampójára kizárólag megnyújtva tudjuk felhelyezni. Az így megnyújtott rugó kiindulási hosszának visszanyerésére törekszik, ezáltal a fogak egymás felé mozdulnak el. Előnye, hogy erőleadása egyenletes, a részárásra szintén használt füzérgumikkal szemben nem, vagy csak nagyon hosszú idő után fárad el.

Hyrax

Fiatalkorban a felső állcsont tágítására alkalmas rögzített fogszabályozó készülék. Működése a felső állcsont közepén található csontvarrat (sutura palatina mediana) megnyitásán alapszik. Ilyenkor a két állcsontfelet távolítjuk egymástól. A hyrax maradófogazatban a felső első kisőrlőkön és első nagyőrlőkön rögzül, vegyesfogazatban pedig az első maradó nagyőrlőn és a tejőrlőkön (esetleg tej szemfogon). A vegyesfogazati hyrax készülhet fémből, vagy akrilátból (ez a splint hyrax). A hyrax közepén, a szájpad mélyére süllyesztve található egy csavar, amelyet a pácienseknek, szülőknek otthon kell tekerni. Fiatalkorban (7-9 év) ez 3 naponta 1 tekerést jelent, míg később (9-12 év) naponta 2 tekerést. A készülék működése során a felső állcsont tágul, a mosoly szélesedik, a torlódások spontán oldódnak, és a felső metszőfogak között rés keletkezik (ez idővel magától zárul). A felső állcsont tágulásával az alsó állcsont gyakran spontán előrehelyeződik (megoldva ezzel pl. egy disztálharapást). Átjárhatóbbá válnak a légutak, javul a szervezet és az agy oxigenizációja, ezzel a gyerkőcök alvása, kipihentsége, koncentrációja. Általam sokat használt és kedvelt készülék a hyrax. Fontos megjegyeznem, hogy a fent leírt, ijesztően hangzó mozgatások a pácienseim beszámolói alapján semmilyen fájdalommal nem járnak, és bár drasztikusnak tűnhet a folyamat, a gyerekek által egyik legjobban tolerált készülék. Kezelés hossza: 7-12 hónap. Kontrollok gyakorisága: az első 2-3 hétben hetente, később 4-8 hetente. A kezelés befejeztével vagy Goshgarian kerül fel az eredmény megtartására, vagy teljes rögzített fogszabályzó ragasztásával folytatódik a terápia.

I
Impaktált fog

Impaktált fogaknak nevezzük azokat az előtörési hajlammal rendelkező fogakat, amelyek valamilyen akadály miatt az állcsontban ragadtak. Leggyakrabban a felső szemfogak és az alsó második nagyőrlők impaktálódnak, általában helyhiány miatt. Az impaktált fogakat fogszabályozó kezelés során sorba kell állítani, vagy el kell távolítani. Számos problémát okozhatnak, ciszta alakulhat ki körülöttük, károsíthatják a szomszédos fogakat vagy akár extrém helyzetben elő is törhetnek az idő előrehaladtával.

Inlay, onlay, overlay

Sérült, destruált fogak ellátására alkalmazott, az őrlő, kisőrlő fogakra ragasztott, fogtechnikus által készített, fogpótlásnak nem minősülő fogtömés, ismertebb nevén betét. Ha a fog kifúrása után a megmaradt egészséges foganyag már túl kevés ahhoz, hogy egyszerű tömést készítsünk, de még túl sok, hogy a fogat egy koronához teljesen lecsiszoljuk, úgy a betét az ideális választás. Kiterjedése szerinte inlayàonlayàoverlayről (növekvő sorrend) beszélhetünk. Nagyon sokszor használjuk gyökérkezelt és/vagy letört fogak ellátására. A megfelelő biomechanikai irányelvek alapján elkészített betétek hosszútávon sikeresebbek, mint az egyszerű fogtömések. A betétek elkészítése a töméseknél bonyolultabb, legtöbbször két időpontot vesz igénybe. Az első alkalommal történek a fog csiszolása, majd lenyomatvétel és ideiglenes fogpótlás készítése, majd a második alkalommal ragasztjuk be a kész betétet. Anyagukat tekintve klasszikus tömőanyagból, kerámiából vagy aranyból készülhetnek. Mai napig az arany az egyik legjobb anyag ilyen célra! A betét tehát egy jó választás a lehető legtöbb egészséges foganyag megőrzésére, viszont a kezelőorvos egyéni megítélésére kell hagyatkoznunk.

Intermaxilláris gumihúzás

A kezelések során végig elasztikus gumihúzást használunk. Ezek egyszerű, Ön által a bracketekre felhelyezhető gumikarikák, melyeket a nap 24 órájában (!!) hordani kell az általam előírt módon. A gumikat csak fogmosáskor és étkezéskor lehet eltávolítani. Érdemes lefekvés előtt új gumikarikát felhelyezni, hiszen a nap folyamán fáradás figyelhető meg az anyagban. FIGYELEM! A gumihúzás a kezelés sikerességének alappillére. A gumihúzások nem előírás szerinti használata a kezelési idő meghosszabbodásához vezet, valamint sokszor lehetetlenné teszi a tökéletes végeredmény kialakítását. Hordásuk a megszokási időszakban picit macerás, de alapfeltétele a gyors, tökéletes végeredmény elérésének.

Interproximális redukció

Interproximális redukció (strippelés, IPR) alatt értjük a fogak egymással érintkező felszíneinek minimális mértékű csiszolását. Ez általában felszínenként 0,2mm csiszolást jelent. Gyakran alkalmazzuk alsó metszőfogakon nagyobb torlódások kezelése során helynyerés céljából (5-6 fog esetén már több, mint 1,5mm helyet is nyerhetünk!). Használható még az ínyszéli, kedvezőtlen esztétikai megjelenésű fekete háromszögek eltüntetésére. lyenkor az amúgy lapátszerű fogak formáját alakítjuk át strippeléssel, ezáltal a fogak nagyobb felületen fognak összefeküdni, ezáltal a fekete háromszögek eltűnnek. A nagyobb érintkező felületnek köszönhetően a végeredményünk stabilabb is!

A strippelésnek tudományosan bizonyítottan nincs káros hatása a fogakra, nem növeli a fogszuvasodásra való hajlamot. Legfeljebb 1-2 napig okozhat enyhe hideg-meleg érzékenységet, ezt azonban én igyekszem megelőzni a strippelés utáni fluorid zselés kezeléssel. A beavatkozás nem fájdalmas, szinte minden kezelésnél végezzük.

Intraorális scanner

Az intraorális scanner egy olyan digitális segédeszköz, mely képes a fogak mikrométeres letapogatásával egy számítógépes, három dimenziós mintát képezni. Segítségével elkerülhető a sokak számára oly kellemetlen hagyományos, gyurmaszerű lenyomatanyaggal készített lenyomatvételi eljárás. A scannerrel a teljes alsó-felső fogív, sőt még a harapási helyzet is rögzíthető, és háromdimenzióban vizsgálható. Különböző elemző programok segítségével további információ is kinyerhető belőle. 3D nyomtató segítségével az eltárolt lenyomatok kinyomtathatók. A fogtechnikussal való együttműködést hihetetlenül megkönnyíti a digitális munkafolyamat, nem beszélve arról, hogy a scannerrel vett lenyomatok pontossága (a betanulási fázis után) sokszorosa a hagyományos eljárással vett lenyomatokénak. A legújabb scannerek fogszínmeghatározásra és fogszuvasodások lézeres detektálására is képesek. Napjaink egyik legnagyobb újítása mind a fogszabályozásban, mind az általános fogászatban. A legmodernebb fogászatokon már Magyarországon is rutinszerűen alkalmazzák.

Ínymosoly

Ha mosolygáskor a fogínyből több, mint 2-3 mm látszik, akkor ínymosolyról beszélünk. A kifejezett ínymosoly nem esztétikus, ezért számos páciens jelentkezik ilyen panasszal. Fontos megjegyezni, hogy a felső ajak a kor előrehaladtával lesüllyed, a lágyrészek ereszkednek, ezáltal a korábbi ínymosolyból tökéletes mosoly alakulhat ki. Fontos tehát, hogy ínymosoly esetén mindig számoljunk az öregedési faktorral is! Az ínymosoly okai:


  1. Hipermobilis felső ajak à botox segítségével a felső ajak izomzatának ellazítása
  2. Vékony felső ajak à hyaluronsav segítségével a felső ajak teltségének fokozása
  3. Túlnövekedett ínyszövet à lézeres ínykontúrozás segítségével a túlságosan vastag ínyszövet eltávolítása
  4. Vertikálisan túlnövekedett felső állcsont a fogszabályozási miniimplantátumok/minilemez segítségével a felső fogív felfelé mozgatása, VAGY fogszabályozási célú fej-nyak sebészeti műtét segítségével a felső állcsont helyes pozíciójának beállítása
Ínyvisszahúzódás

Abban az esetben, ha egy adott fog külső vagy belső oldalán valamilyen okból csontfelszívódás történik, úgy a csont szintjét követve sokszor az íny is visszahúzódik, szabaddá téve a fog külső vagy belső felszínét (fognyakat vagy akár foggyökeret is). Fontos megjegyezni, hogy ínyvisszahúzódás nem alakul ki tökéletes szájhigiéné mellett. Gyakran látott kórkép fogszabályozó kezelés előtt, melyet a fog helytelen pozíciója okoz, és a megfelelő mozgatásokkal korrigálható, visszafordítható. Számos esetben azonban éppen a fogszabályozó kezelés mellékhatásaként léphet fel ínyrecesszió, legtöbbször túlkompenzált esetekben. Parodontológus kollégák képesek kezelni az ínyrecessziót különböző technikák segítségével, így aggodalomra semmi ok. Fontos viszont, hogy a szabaddá vált fogfelszínt óvatosan, puha sörtéjű fogkefével tisztítsuk, másképp károsíthatjuk a fog keményszöveteit.

K
Keresztharapás

Normál esetben a felső fogív körülöleli az alsó fogívet, és harmonikus, fogaskerékszerű illeszkedés figyelhető meg közöttük. Abban ez esetben, ha a felső vagy alsó fogív szűkebb/tágabb az ideálistól, úgy keresztharapás alakulhat ki. Ez lehet oldalsó vagy elülső keresztharapás, lokalizálódhat egy vagy akár több fogra is. Leggyakoribb a felső fogív szűkülete miatt létrejövő egyoldali keresztharapás, de sokszor látunk bulldogharapós pácienseknél elülső keresztharapást is. A különböző keresztharapások komoly, nem kívánatos állkapocs ízületi mozgásokat alakítanak ki, ellátásuk minél hamarabb indokolt (már korai vegyesfogazatban).

Kontaktpont

A fogak egymással érintkező felszínei kontaktpontokat, vagy kontaktfelszíneket alkotnak. A fogak közötti területek tisztítása a mindennapi szájhigiéné legkritikusabb pontja. Tisztítás hiányában a felgyülemlő lepedék fogszuvasodás kialakulásához vezet. Az egyik legveszélyesebb fogszuvasodási típus ez, mivel a fogat oldalról, nem látható felszínen támadja meg. Sokszor csak késői stádiumban kerül felismerésre.

A kontaktpontoknál szoktunk interproximális redukciót végezni.

Kontúrálás

A kontúrálás a fogak éli, rágófelszíni részeinek polírozókoronggal történő lesimítását jelenti. Kontúrálás során tized milliméternyi fogzománcot távolítunk el a fog adott felszínéről. Elsősorban metszőfogak végzem (szinte minden esetben) a kedvezőbb esztétikai végeredmény elérése érdekében. Segítségével egyenletes, sima felszínek hozhatók létre, a korábbi egyenetlen, töredezett, kopott fogfelszín korrigálható. További, fogszabályozásban ritkább felhasználási területe az őrlőfogak rágófelszíne, ahol a tökéletes csücsök-barázda kapcsolatok kialakításában lehet szerepe. A beavatkozás az IPR-hez hasonlóan nem fájdalmas, szinte minden kezelésnél végezzük, és nem befolyásolja a fog egészségét.

Korai vegyesfogazat

7-8 éves kor körül a gyermekek többségének korai vegyesfogazata van. Ez azt jelenti, hogy az első maradó nagyőrlők előtörtek, a tej metszőfogakat pedig felváltották a maradó metszőfogak.

Késői vegyesfogazat

10-11 éves korban beszélünk késői vegyesfogazatról, amikor megkezdődik az oldalsó tejfogak elvesztése, és a tej őrlők, tejszemfogak helyére nőnek a maradó kisőrlők és szemfogak. Késői vegyesfogazatban a szájüregben eltérő sorrendben nőnek a maradófogak, illetve esnek ki a tejfogak.

L
Ligatúra

A fogszabályzó ívet a bracketekbe rögzítő alkotóelem a ligatúra. Önligírozó fogszabályozóknál ez gyakorlatilag egy ajtó, míg hagyományos technikánál ez minden alkalommal egy kézzel felhelyezett gumi vagy fém drót.

Lézeres ínykorrekció

Abban az esetben, ha az ínyszövet mennyisége meghaladja a normálist, tehát valamilyen okból kifolyólag túlburjánzott, akkor lézeres ínykezelés segítségével könnyedén újra széppé varázsolhatjuk a mosolyt. Helyi érzéstelenítést követően a túlnövekedett ínyszövetet lágyszöveti lézer segítségével eltávolítjuk. A lézer kedvező hatása, hogy vérzés szinte semmilyen mértékben sem lép fel! A lézer kiválóan alkalmas enyhe ínymosolyok plasztikázására is, valamint a fogszabályozó kezelés során fenntartott rossz szájhigiéné miatt túlburjánzott ínyszövet korrekciójára is.

Lip-bumper

Talán az egyik legkényelmesebb fogszabályozó készülékek egyike a lip bumper, ami az alsó hátsó őrlőfogakon lévő gyűrűből, és a gyűrű tubusába helyezhető vastag, szilikonnal borított acélívből álló készülék. A gyűrűbe helyezhető rész kivehető. A szilikonnal bevont acélív körülöleli az alsó fogsort, azoktól 3-4mm-re helyezkedik el. Általam igen kedvelt készülék, mely az alsó ajak erejét használja az alsó őrlőfogak helyben tartására, esetleg minimális hátra vitelére. Vegyesfogazatban használjuk, amikor célunk a fogváltás irányítása. Kiváló szolgálatot tesz alsó torlódás esetén, amikor a Leeway-space megtartásával a torlódás feloldásában segít. Ilyenkor a hatos fogak pozícióban tartásával plusz helyet nyerünk, hiszen az oldalsó tejfogak összesített átmérője kisebb, mint a helyükön előtörő maradófogak összesített átmérője. Előírt hordási idő: 12-14 óra/nap. Kontrollok gyakorisága: 4-6 hét.

M
Manuálterápia

A manuálterápia napjainkban egyre gyakrabban alkalmazott kezelési módszer, mely a gyógytorna/gyógymasszázs egyfajta mellékága. Manuálterapeuta/gyógytornász végzettséget igényel! Célja az izmok megfelelő működésének elősegítése, a kóros mozgások, görcsök, csomók feloldása. A kezelések a páciensekkel együttműködve zajlanak. Lényege, hogy adott pontokra a manuálterapeuta kolléga tartós, nagy nyomást fejt ki, mellyel a görcsös, merev izmokat feloldja. Eredményeként megnövekedik az adott izom mozgástartománya, enyhül a fájdalom. Nem csak a fogászatban fontos, a test bármely részén alkalmazható tudomány. Én is járok gyógytornára és manuálterapeutához, akinek gerinc, hát, térd, csípő stb. fájdalma van, azoknak ajánlom, hogy próbálják ki. A teljes test harmóniája megváltozik, helyreáll akár már egy kezelés után.

Maradó fogazat

Ideális esetben 32 fogból áll a maradó fogazat. A 32 fogat 4 negyedre (kvadránsra) osztjuk fel, jobb felső és bal felső, valamint bal alsó és jobb alsó. Tehát minden kvadránsban 8 fog található: 3db nagyőrlő, 2db kisőrlő, 1db szemfog és 2db metszőfog.

MARPE készülékek

A MARPE (Miniscrew Assisted Rapid Palatal Expansion) készülékek a felső állcsont tágítására használatos készülékek. Felső állcsont szűkület esetén a legoptimálisabb választás a MARPE-k használata. Ezek a fogszabályozási miniimplantátumok segítségével rögzülnek a szájpadon. A fogszabályozási miniimplantátumokból fiatalabb pácienseknél 2 (MICRO2 készülék), míg idősebbeknél 4 darabot helyezünk be a szájpadba helyi érzéstelenítésben. A készülékek megszokása nagyon gyors, kívülről nem láthatók, és gyakorlatilag a kezelés fájdalommentes (leszámítva az első 3-5 napot). Gyermekeknél és felnőtteknél egyaránt alkalmazható, magas sikerrátájú technikáról beszélünk, melyet előszeretettel alkalmazok a felső állcsont tágítására. Ma már teljesen digitálisan tervezzük meg a behelyezett miniimplantátumok pozícióját (háromdimenziós CBCT felvételen), amiket speciális fúrósablon segítségével tekerünk be a felső állcsontba. A MARPE készülékek is 3D nyomtatással készülnek!

Meziálharapás

A meziálharapás egy döntő többségében genetikai eredetű harapási eltérés, amit általában az alsó állcsont túlzott növekedése okoz, másik megnevezése Angle III. osztályú harapás. Ez gyakran társul kisméretű felső állcsonttal. A meziálharapás kompenzációs terápiája egy bizonyos határig kielégítő eredményt ad, azonban extrémebb eltéréseknél az egyetlen helyes megoldás a szájsebészeti műtéttel történő kezelés. Ilyenkor az alsó állcsontot hátrébb, a felsőt pedig előrébb mozgatják a műtét során. A meziálharapás és annak öröklődésének legjobb példája a Habsburg-ház.

Mélyharapás

Mélyharapásról akkor beszélünk, amikor a felső metszőfogak többet fednek az alsó metszőfogak koronájából, mint 1-2mm. A mélyharapás súlyos formája, amikor az alsó fogak egyáltalán nem látszanak. Súlyos szövődményei lehetnek a mélyharapásnak, így fogszabályzási ellátása erősen javallott.

Mélyhúzott sín

Az általam leginkább kedvelt, fogszabályozás után alkalmazott készülék, mely egy láthatatlan fogszabályozóhoz hasonlító mélyhúzott fólia. Az alsó és felső fogívet körülölelő vékony, nem látható készüléket a kezdeti 12-14 órás hordás után elegendő csak éjszaka behelyezni. Hivatalosan kétszer annyi ideig kell hordani, mint ameddig a fogszabályozó kezelés tartott (2 éves terápia után 4 évig még helybentartó készülék viselése), gyakorlatban én élethosszig tartó használatot javaslok. Sajnos a fogak életünk végéig mozognak, kopnak, változik a fogágy szerkezete, az állkapocsízületünk és arcunk is. Ha az elért eredményt örökre szeretnénk, akkor sokáig kell hordanunk a sínt.

N
Nikkel-titánium ív

A hadiipar és a NASA által fejlesztett anyag képes nagymértékű deformáció után is visszavenni eredeti alakját. A nikkel-titánium ívek memóriával rendelkező szuperelasztikus (nagyon rugalmas) ívek, amiket ideális fogívformák szerint gyártanak. A kezelés első fázisaiban használjuk őket, amikor a cél a fogak “kiegyenesítése” (nivellálása). Léteznek szögletes és kör átmetszetű ívek. A kezelést legtöbbször a kör keresztmetszetűekkel kezdjük, majd haladunk az erősebb, vastagabb, szögletes ívek felé.

Non-okklúzió

Non-okklúzió alatt azt értjük, ha egy fognak nincs harapó párja. Ezt okozhatja a szemben lévő (antagonista) fog hiánya, vagy nyitottharapás is.

Nyakcsigolya érettségi besorolás (CVMS – Cervical Vertebral Maturation Staging)

Az oldalsó teleröntgenen látható nyakcsigolyák formájából, alakjából valamelyest következtetni lehet a gyermekek csontérettségi stádiumára. Számos készülék kizárólag adott stádiumban alkalmazható sikeresen. A besorolás 1-6-ig terjed. A kevésbé fejlett, differenciált nyaki csigolyákat a korábbi stádiumokba soroljuk (1-3. stádium), még az érettebbeket későbbiekbe (4-6. stádium). A CVMS is részét képezi annak a diagnosztikai összesítőnek, ami alapján eldöntöm, hogy melyik készüléket mikor alkalmazom. Például a bimaxilláris fogszabályozókat 3-4. stádiumban használom, a hyrax készülékeket a 2-3. stádiumban.

Nyelvfék

A nyelv testét a szájfenékkel összekötő nyálkahártya tömörülés a nyelvfék. Problémát akkor jelenthet, hogyha túl rövid. Ilyenkor beszédproblémát okozhat, rendellenes pozícióba kényszeríti a nyelvet, amely negatívan hat az egészséges állcsontnövekedésre.

Nyelvlökés gátló rács

A nyelvlökésgátló rács a felső elülső fogak mögött elhelyezkedő vastag, hullámos acélív, mely lehet kivehető fogszabályozó készülék (pl.: tágítócsavaros lemez) része, de a hátsó felső őrlőfogakon gyűrűvel rögzülve lehet önálló rögzített fogszabályozó készülék is. Feladata a nyelvlökéses nyelés korrigálása. Segítségével nyeléskor a nyelv nem tud előrenyomulni a frontfogak területére, így ezek könnyebben mozgathatók a kívánt irányba. Hátránya, hogy a rossz szokásról nem szoktatja le a pácienst, inkább csak gátat képez a funkciónak. A készülék eltávolításával a rossz szokás visszatér. Ritkán használom, viszont olyankor mindenképp egybekötöm logopédiai kezelésekkel is. A kombinált kezelés hatására a nyelvlökés gátló rács nem egy ténylege gát, hanem csak egy emlékeztető lesz, hogy a nyelv rossz helyen van, aminek hatására a helyes pozícióba tudják helyezni pácienseim.


A kép forrása: https://kieferorthopaedie.com/

Nyitottharapás

Nyitottharapásnak nevezzük, amikor a felső és alsó fogak nem érintkeznek egymással. Ez lehet elülső nyitottharapás, mely tipikusan korábbi cumizás, vagy ujjszopás miatt alakul ki, valamint lehet oldalsó nyitottharapás, amit sokszor csírahiány okoz. Extrém esetben előfordulhat, hogy szinte teljes a nyitottharapás, csak a leghátsó (legtöbbször második őrlőfogak) érintkeznek egymással. Az overbite értéke negatív.

Nyolcas ligatúra

Nevében is benne van, hogy a bracketek körül nyolcas alakban futó fémszálról beszélünk. Segítségével rögzítjük a fogak közötti távolságokat, stabilizáljuk a fogakat. Alkalmas a bezárt rések újranyílásának megakadályozására a kezelés során. Főként a kezelés végső stádiumában használom.

O
Oldalsó teleröntgen

Szinte 100%-ban fogszabályzási célból használt röntgenfelvétel. Gyakorlatilag egy oldalsó röntgenprofil. Látható rajta a metszőfogak tengelyállása, az állcsontok egymáshoz való viszonya a vertikális és szagittális síkban, elemezhetők a lágyrészek és a nyakcsigolyák. A nyakcsigolyák osztályozásával következtethetünk a páciens csontérettségi stádiumára is. A panoráma röntgennél is kisebb sugárterheléssel jár.

Orthognath arc, retrognath arc, prognath arc

A fogszabályzásban három, oldalirányból vizsgált profilt különítünk el egymástól. Orthognath a profil, ha az alsó-felső állcsont egymáshoz és az archoz viszonyított helyzete tökéletes. Ha az alsó állcsont hátrébb helyezkedik el retrognath, ha az alsó állcsont előrébb helyezkedik el prognath arcról beszélünk. Fenti eltéréseket, profil jellegzetességeket a felső vagy alsó állcsont túl-, vagy alulnövekedése is okozhatja, sőt, akár kombinálódhatnak egymással. Pontosan ezért a megfelelő diagnózis elengedhetetlen. Nem mindegy, hogy a retrognath arcporfilt egy hátrahelyezett alsó állcsont okozza, amikor a terápia során megpróbáljuk azt előrehozni, vagy egy megfelelő helyen lévő alsó állcsont, és egy túlnövekedett felső állcsont a probléma forrása, amikor a felső állcsontot/fogakat kell a korrekció során hátrafelé mozgatni.

Overbite

Hosszanti (vertikális) síkban az alsó-felső metszőfogak viszonyát jelző távolság, melyet milliméterben lemérve megkapjuk, hogy mekkora a mély- (pozitív érték), vagy nyitott harapás (negatív érték) értéke. Normálisan ez a szám 1-2mm.

Overjet

Nyílirányú (szagittális) síkban az alsó-felső állcsont közötti milliméterben mért távolságot értjük overjet-en, amely legtöbbször túlharapást jelent. Ha az alsó állcsont hátrébb van, úgy ez pozitív érték, ha a felső van hátrébb (“bulldogharapás”), akkor negatív érték. Ideális esetben értéke: 1-2mm.

P
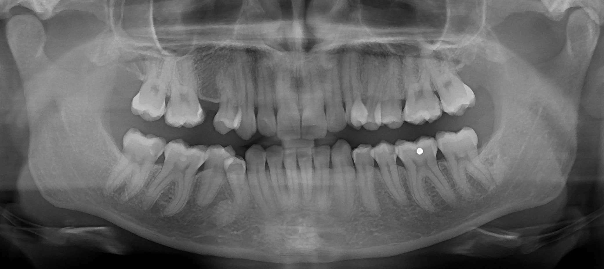
Panoráma röntgen

Panoráma („körbeforgós”) röntgen alatt egy olyan, kétdimenziós felvételt értünk, mely a teljes alsó-felső fogívről megfelelő képet ad, értékelhető rajta az állkapocsízület, valamint az arcüreg is. A foggyökerek és a fogak koronája is jól látható. A röntgen készítése során a röntgenfilm és a röntgensugár a vizsgálni kívánt terület körül forog, egymással szemben elhelyezkedve. Az elülső fogak területére a röntgenkép készítése során sajnos rávetülnek a nyakcsigolyák, így ez a terület kevésbé pontos, éles. Mivel egy körívet egyenesítünk ki, emiatt az oldalsó fogak területe is enyhén torzulhat, nehezebb a kontaktpontoknál keletkező fogszuvasodás felismerése. A panoráma röntgen kiváló diagnosztikus felvétel az általános fogászati állapot megítélése. Sokszor használjuk góckutatás során, hiszen egy röntgenfelvétel készítésével számos területről nyerhetünk diagnosztikus ismeretet. Sugárterhelése minimális.

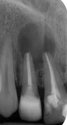
Periapikális/korona röntgen

Kisméretű röntgenfelvétel (kis fogröntgen), melyen egy kb. 2x3cm-es területet vizsgálhatunk. A kis dimenzió miatt a felvételek nagyon pontosak, torzításmentesek, kiválóan alkalmasak fogszuvasodás detektálására (korona röntgen), vagy foggyökér körüli kóros folyamatok diagnosztizálásra (periapikális röntgen). A fogszabályozásban a periapikális röntgeneket használjuk a miniimplantátumok helyzetének vizsgálatára, a behelyezés előtt és után. Sugárterhelése kisebb a háttérsugárzástól, mely minden nap ér minket.

Plakk

A dentális plakk a fogak és a szájüregben lévő egyéb kemény képletek felszínét borító, azokhoz erősen tapadó, bonyolult szerkezetű bakteriális komplex. Megkülönböztetünk az íny szintje felett (supragingivalis) és alatt (subgingivalis) elhelyezkedő plakkot. A kettő közül az utóbbi a veszélyesebb. A plakk fontos jellemzője, hogy ellentétben a laza szerkezetű ételmaradékkal, a fog felszínéről kizárólag mechanikus tisztítással távolítható el. Ezért nem helyettesíthető a fogmosás öblögetéssel, vagy szájzuhany használatával. Ezek csak javítják a szájhigiénét, de nem távolítják el az összes plakkot a fogak felszínéről, inkább csak a lazán tapadó ételmaradékot. Fogszabályozó kezelés közben kiemelten fontos a plakk eltávolítása megfelelő fogkefe-fogköztisztító kefe-szájzuhany-fogselyem-szájvíz használattal!

R
Réses fogazat

Bár a leggyakrabban torlódott fogazat miatt keresnek meg páciensem, sokszor előfordul, hogy a probléma épp ellenkezőleg az, hogy túl sok hely van a fogaknak állcsontban. Amennyiben ez csak 1-2 fogra lokalizálódik, úgy a probléma megoldása egyszerű, viszont generalizált résesség esetén legtöbbször nagy kihívás az eltérés megoldása.

Retineált fog

Előtörési hajlammal nem rendelkező, állcsontban rekedt fogak. Általában a bölcsességfogak retineálódnak.

S
Sutura palatina mediana

A felső állcsont közepén elhelyezkedő csontvarrat. Fogszabályozási jelentősége, hogy a még nyitott állapotban lévő csontvarrat mentén történik a felső állcsont tágítása (hyrax). Ez a varrat kb. 12-13 éves korra elcsontosodik, és ezután kizárólag bonyolultabb készülékek segítségével nyitható újra, vagy szájsebészeti úton. A sutura palatina mediana mentén történt felső állcsont tágítás ténylegesen a felső állcsont alapját szélesíti, tehát nem csak a fogakat mozgatjuk a tágítás során. Ez a legkívánatosabb módja a tágításnak.

Számfeletti fog

Amennyiben a normálistól eltérően több fog található a szájüregben, úgy számfeletti fogakról beszélhetünk. Ezek lehetnek valamely maradó foggal megegyező formájúak (dens supplementarius), vagy teljesen random alakúak (dens supernumerarius). Eltávolításuk javasolt, amennyiben befolyásolhatják az egészséges fogakat, azok előtörését, épségét. Ha nagy számú számfeletti fog látható, érdemes gyanakodni valamilyen általános megbetegedésre, szindrómára.

T
Tejfogazat

20 fogból áll a tejfogazat, a szájüreget ekkor is negyedekre (kvadránsokra) osztjuk fel, jobb felső és bal felső, valamint bal alsó és jobb alsó. Minden kvadránsban 5 db tejfog található. Ezek közül 2db tej nagyőrlő, 1db tej szemfog, 2db pedig tej metszőfog.

Tolórugó

Ahogy neve is jelzi, a tolórugó a fogak széttolására alkalmas kiegészítő eszköz. A helyteremtés egyik leggyakrabban használt eszköze, mely az ívekhez hasonlóan nikkel-titániumból készül. A tolórugót a bracketek közé, az ívre helyezzük. A szükségesnél enyhén nagyobbat illesztünk be két bracket közé, s az így összenyomott tolórugó igyekszik visszavenni eredeti hosszát, ezért a fogak egymástól eltávolodnak. Az erőleadás mindeközben egyenletes! Torlódásnál szinte mindig használom, ilyenkor előbb meg kell teremteni a megfelelő helyet a fogaknak, és csak azután helyezek rájuk bracketeket. Kiválóan használható fogpótlások helyének előkészítésére.

Torlódott fogazat

A legtöbbször panaszt okozó fogszabályozási kórkép. Számos oka lehet a fogtorlódások kialakulásának. Előfordulhat, hogy a fogak mérete jóval nagyobb, mint az állcsontok által biztosított hely. Bizonyos esetekben a fogak nyelv felé való dőlése miatt szűkül be a fogív, és emiatt a szűkebb íven csak torlódva férnek el a fogak. Fontos a torlódás okának pontos feltárása, hiszen sikeres kezelést csak így végezhetünk.

Tubus

Tubusoknak nevezzük a nagyőrlőkre ragasztott rögzített fogszabályzó alkotóelemeket. Nevükben is benne van, hogy egy kis “alagutat” foglalnak magukba, ebbe lehet az íveket belecsúsztatni. A tubusokat általában nem lehet kinyitni, mint a bracketeket, néhány kivételtől eltekintve (önligírozó tubusok, konvertálható tubusok).

W
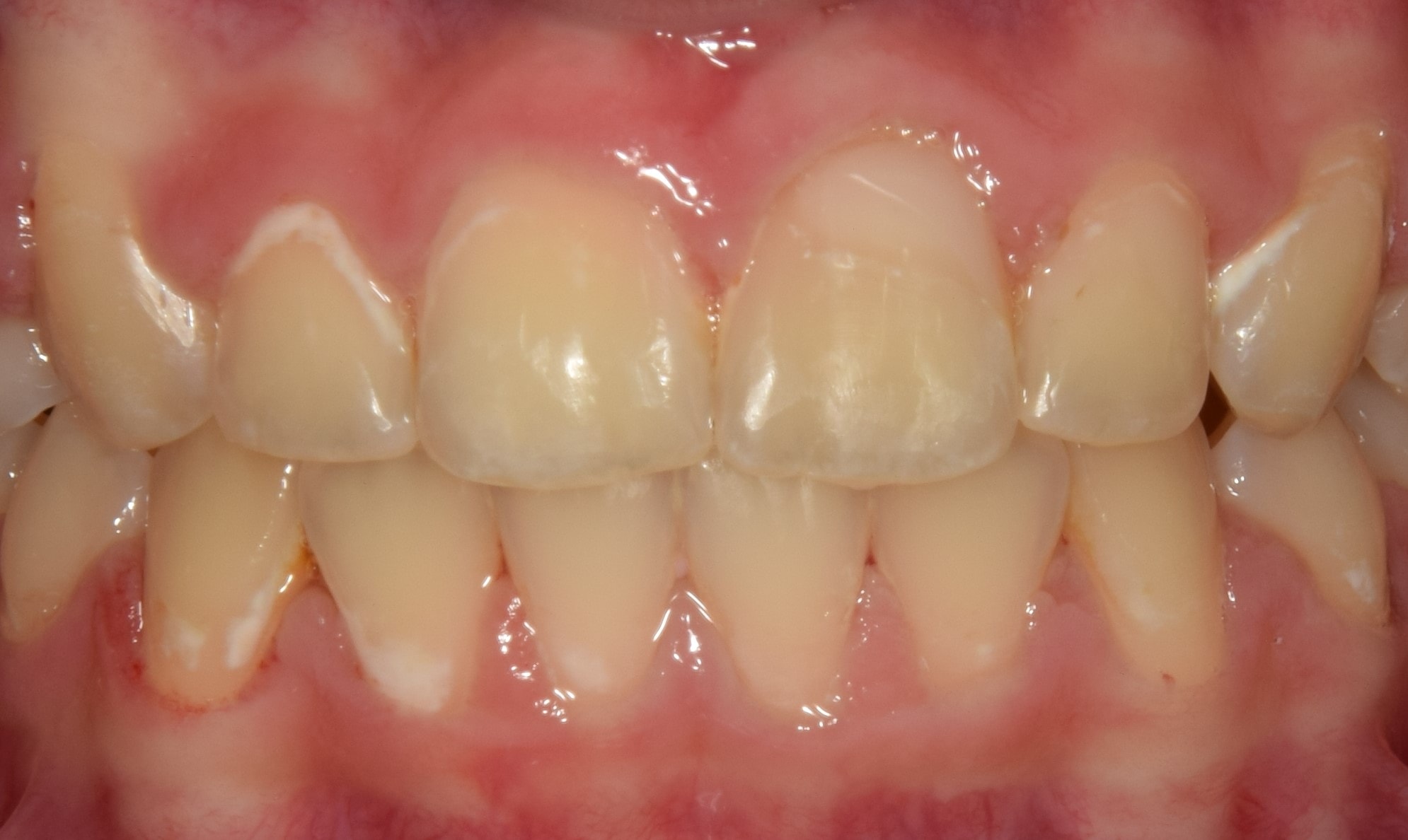
White spot lézió

Legtöbbször a fogak külső felszínén jelentkező, a fogzománcot érintő krétafehér elszíneződés. Oka a nem megfelelő szájhigiéné. Az állandóan jelen lévő lepedékben található baktériumok a fogzománcból kioldják az ásványi anyagokat. Megfelelő fogmosással megelőzhető, és kezdetben visszafordítható eltérés. Sokszor összekeverik a fluorid által okozott fehéres elszíneződéssel (fluorózis), elkülönítéséhez fogorvosi szakvizsgálat szükséges.

Copyright © 2020 Dr. Szegedi Levente | Minden jog fenntartva.