Tabuk a fogszabályozásban

A fogszabályozás bonyolult anyagcsere folyamatok, nagyon alapos kezelés tervezés és összetett biomechnikájú fogmozgatások együttese. Az alapos előkészítésnek köszönhetően a kezelések során legtöbbször minden a terv szerint megy, és egyáltalán nem, vagy jelentéktelen mértékű komplikáció lép csak fel. Vannak viszont olyan helyzetek, amikor nem úgy történnek a dolgok, ahogy azt elterveztük. Az emberi szervezet sokoldalúsága miatt nagyon nehéz megjósolni azt, hogy a fogak hogyan reagálnak a fogszabályozásra, és lesz-e valamilyen nem várt szövődmény.

A következőkben ismertetem a leggyakoribb gondokat, és azok megoldását is. Kihangsúlyoznám, hogy ez mindenkivel előfordulhat, és nem a komplikáció kialakulásának ténye kell meghatározzon egy teljes kezelést, sokkal inkább a páciens-kezelőorvos által adott reakció. Szinte mindenre van alternatív megoldás, melyekkel kezelhetők ezek. Fontos, hogy ilyenkor páciensként is megőrizzük nyugalmunkat, és ugyanolyan motivációval, együttműködve folytassuk a kezelést annak érdekében, hogy a kialakult probléma megoldódjon.

Nem kívánatos fogmozgások

A fogszabályozás alatt előfordulhat, hogy bizonyos fogak, fogcsoportok nem úgy, nem abba az irányba mozognak, mint azt terveztük. Ennek számos oka lehet. Például, egy kezeletlen nyelvlökéses nyelés megnehezítheti, lassíthatja a felső metszőfogak hátra mozgatását. Funkcionális eredetű akadályok leküzdése az egyszerűbb, ilyenkor a rossz szokást kell kiiktatni, majd ezután minden rendben folytatódik.

Szerencsére viszonylag ritkán, de előfordulhat a fogak elcsontosodása is. Ez legtöbbször korábban balesetet elszenvedett fogaknál jön létre, de kialakulhat mindenféle külső behatás nélkül is. Ilyenkor lényegében a fogágy szerkezete megváltozik, és a fog a csonthoz rögzül, akár csak egy fogpótlásra használatos fogimplantátum. Latin nevén ankylosis.

Nem kívánt fog elmozdulások esetén nagy százalékban alkalmazunk fogszabályozási miniimplantátumokat. Ezek közvetlenül a csontba helyezett, kis méretű csavarok, melyekhez képest stabilan és kiszámíthatón tudjuk mozgatni a fogakat.

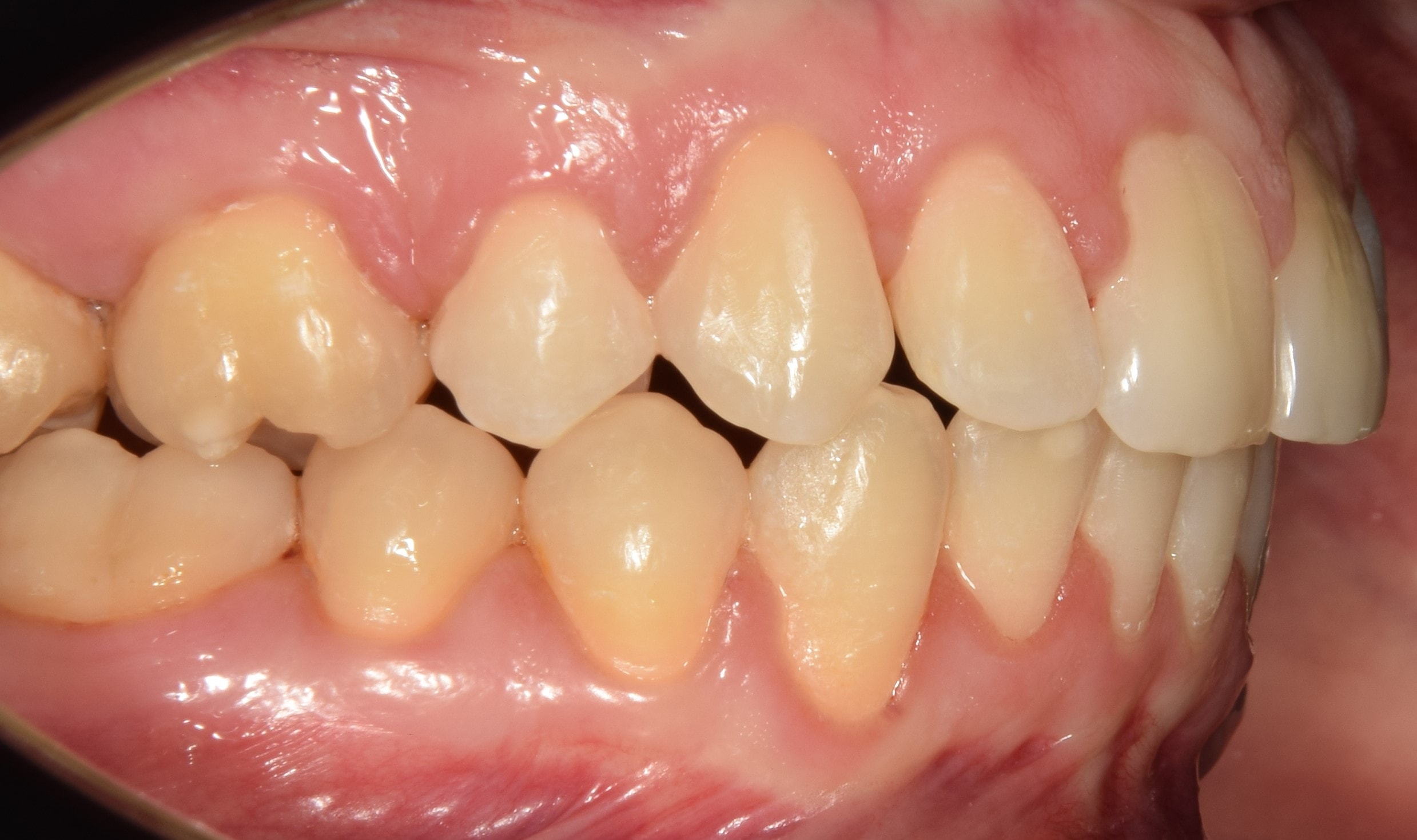
Ínyvisszahúzódás

A fogszabályozó kezelések egyik legtöbbször előforduló szövődménye az ínyvisszahúzódás. Ilyenkor megnövekszik a fog szájüreggel érintkező felszíne, szabaddá válik a fognyak, számos esetben a foggyökér is. A fogágy specialisták szerint ínyvisszahúzódás akkor jöhet létre, ha nem megfelelő a szájhigiéné. Ekkor a fogfelszínen keletkezett plakk (lepedék) miatt a fogíny begyullad, és a gyulladásos reakció végeredményeként ínyvisszahúzódás jöhet létre. Fokozza az ínyrecesszió kialakulásának valószínűségét, ha a kezelés során nem tiszteljük a biológiai határokat, és „túlkompenzáljuk” az adott fogszabályozási eltérést. Például alsó metszőfog ínyvisszahúzódás jöhet létre, ha egy súlyos disztálharapást kizárólag intermaxilláris gumihúzás segítségével kezelünk. Fontos azonban megjegyezni, hogy a tudományos kutatások alapján megfelelő fogmosás mellett még ilyenkor sem alakulna ki ínyrecesszió. Ezért is kritikus a fogszabályozó kezelés alatt megfelelő szájhigiénét fenntartani!

Kezelése legtöbb esetben parodontológus, vagyis fogágy specialista által történik. Enyhe visszahúzódás esetén nem feltétlenül szükséges az ellátás. Komolyabb recessziónál szükség van a szabaddá vált fogfelszín fedésére. Ez történhet erre a célra készített mesterséges „ínypótló” anyaggal, vagy a szájpadból kivett saját ínyszövettel. Ilyenkor a szájpad tökéletesen meggyógyul, az ínyvisszahúzódás pedig saját ínyszövettel lesz korrigálva.

Gyökérfelszívódás 

A gyökérfelszívódás a foggyökér megrövidülését jelenti. Tejfogazatban ez egy kívánatos reakció, mely a növekvő maradófog miatt jön létre. A maradófog hatására a tejfogak gyökere elkezd felszívódni, a tejfog meglazul, majd végül kiesik és helyét átveszi a megfelelő maradófog. Sajnos ez a folyamat maradófogazatban is megfigyelhető. Oka lehet fogakat ért baleset, trauma, súlyos fertőzés, de fogszabályozó kezeléseknél is előfordul. Tudni kell, hogy gyökérfelszívódás minden fogszabályozó kezelés során fellép, csupán oly kis mértékű, hogy nem lehet diagnosztizálni! A fogmozgatás miatt a foggyökerek csúcsa lekerekedik, majd a kezelés végén spontán helyreáll.

Ritkán, súlyos esetben a foggyökér jelentős megrövidülése jön létre. Ennek mértéke megjósolhatatlan, akár a fog meglazulásához, elvesztéséhez is vezethet. Legtöbbször 1-1 fogat érint, a generalizált gyökérfelszívódás extrém ritka.

Kialakulásának pontos oka még nem ismert, több faktor együttes jelenléte szükséges, és valószínűleg genetikai háttere is van. Hajlamosító tényező lehet a korábban balesetet szenvedett fog, vagy ha a kezelés során túl nagy erőkkel mozgatjuk a fogakat. Az önligírozó fogszabályozók (Pitts21, H4) helyes használatával ennek lehetősége minimalizálható.

A folyamat progresszióját nem láthatjuk előre. Lehet, hogy 1-2 mm-es felszívódás után megáll, rosszabb esetben 4-5 mm, vagy még több is felszívódhat a foggyökérből. Az ellátás alapját a foggyökér megrövidülésének mértéke szabja meg. Enyhe esetekben nincs teendő, a folyamatot kontroll alatt kell tartani, fél évente röntgen készítése javasolt. Komoly felszívódásnál a mobilissé vált fogakat rögzíthetjük a szomszédos fogakhoz, ezzel stabilizálva őket. Extrém esetben szükséges az adott fog eltávolítása. Ilyenkor vagy implantációs fogpótlás készül, vagy folytatva a fogszabályozást a szomszédos fogakkal zárjuk a rést, ha ez biomechanikailag lehetséges.

Nem tökéletes végeredmény

A fogszabályozó kezelés vége felé közeledve láthatóvá válik, hogy a kezelési tervben leírt elképzelések meg fognak-e valósulni 100%-ban. Nagyrészt minden terv szerint zajlik, ám vannak esetek, amikor kezelés közben kell módosítani az eredeti kezelési terven. Ez egyrészt plusz költségekkel járhat, másrészt pedig meghosszabbíthatja a kezelési időt. A kezelések végén legtöbbször az alsó-felső állcsont tökéletes illeszkedésének kialakítása jelent problémát. Előfordulhat ugyanis, hogy a szervezet biológiai határai végül sajnos nem teszik lehetővé a megfelelő korrekciókat, ezáltal kompromisszumot kell kötnünk. Ilyenkor vagy plusz időt és anyagi ráfordítást igényel a kezelés tökéletes befejezése (általában fogszabályozási miniimplantátum behelyezése szükséges), vagy nem lesz tökéletes a végeredmény.

Utóbbi esetben sosem az esztétikai megjelenést „rontja” a nem 100%-os kezelés befejezés, sokkal inkább a funkció rovására kell áldoznunk. Fontosnak tartom, hogy ezt ne rejtegessem pácienseim elől, és a kialakult akadályra közösen keressünk és találjunk megoldást. Mi történik abban az esetben, ha nem lesz megfelelő a harapás a kezelés végén? Ez a kérdés gyakorlatilag előre nem megmondható, de vannak tényezők, amiről tudni kell. A nem fogaskerékszerűen illeszkedő harapás fokozott fogkopást okozhat, továbbá az ízületi mozgáspályákat negatívan befolyásolva ízületi panaszok kialakulásához vezethet. Az ízületi panaszok kialakulása igen nehéz téma, és mind a mai napig nincs konkrét tudományos kutatási eredmény arról, hogy milyen eltérések esetében jön létre ízületi panasz, és melyeknél nem. Vannak szinte tökéletes harapással érkező páciensek, akiknek valamiért mégis fáj az állkapocsízülete, és vannak nagyon súlyos harapási eltéréssel jelentkezők, akiknek egészséges az ízületük. Leggyakrabban valamilyen korai fogérintkezés okoz fájdalmat, amit viszont a fogszabályozással megszüntetünk. Még megalkuvásos levétel esetén is a fogak terhelése és érintkezése viszonylag egyenletes lesz, a fogívek pedig szépen ki lesznek formálva, „kerekítve”!

Minden erővel arra törekszünk, hogy a komplikációkat elkerüljük, de bizony vannak esetek, amikor nem sikerül. Ezeknek a szövődményeknek a megoldása egyértelműen a megfelelő, alapos páciens tájékoztatásban, valamint a töretlen orvos-páciens együttműködésben rejlik.

Állkapocsízületi fájdalom

Abban az esetben, ha fogszabályozás közben alakul ki hosszan tartó állkapocsízületi fájdalom, panasz, állkapocsízületi specialista kolléga bevonásával folytatjuk a kezelést. Számos esetben manuálterapeuta kollégához is elküldöm pácienseim. Együttes kitartó munkával megtaláljuk az ízület számára kényelmes pozíciót, melyben feláll a kívánatos izomegyensúly is. Páciens szemszögből a fájdalmon túl a legbosszantóbb a jelentős anyagi teher, amit a különböző gyógyászati kezelések (manuálterápia stb.) jelentenek. Az ízület egészsége viszont kulcsfontosságú, és gyógyult állapotban egy életen át nyújt majd jó szolgálatot, úgyhogy megéri komolyan foglalkozni vele!

Fogbél elhalás

A fogmozgatás következményeképp az állcsontok anyagcseréje megnő, fokozódik a csont átépülés, illetve a szövetek vérellátása fokozódik. A mozgatások hatására a fogakban (a fogbélben) helyi vérbőség alakul ki. A fogak anatómiai sajátossága, hogy a fogbél kemény falakkal körülhatárolt terület. Amennyiben a fogmozgatást túl nagy erővel végezzük, úgy a fogbélben kialakult túlzott vérbőség következménye az lesz, hogy az erek a fogbél kemény falainak nyomódnak, elzáródnak, ezáltal romlik a fogbél keringése, és a fog akár el is halhat. Ennek elkerülése a megfelelő fogszabályozó készülék kiválasztásában, illetve az ideális biomechanikai tervezésben rejlik. Jelenleg a láthatatlan és az önligírozó fogszabályozókkal lehet a legkisebb erőkkel mozgatni a fogakat.

Korábban traumásan sérült fogaknál sajnos sokszor előfordul, hogy a fogmozgatást már nem tudja elviselni a fogbél és a fog elhal. Ezeket a fogakat extrém mértékű elővigyázatossággal kell fogszabályozni, de sokszor még így sem kerülhető el a fog elhalása.

Mély fogtöméssel ellátott fogak szintén fokozott veszélynek vannak kitéve a fogszabályozó kezelések alatt. A korábban panaszmentes, kikezelt fogak újra panaszt okozhatnak. A helyi vérbőség miatt a fogak érzékenyebbek lesznek.

A fogbél elhalás viszonylag ritkán előforduló következménye a fogszabályozó kezeléseknek. A kezelési tervet nagymértékben módosíthatja egy-egy fog elhalása. A fogak konzerváló fogászati terápiája gyökérkezelés segítségével lehetséges. Ma már olyan mikroszkópos gyökérkezelési eljárások is rutinszerűen alkalmazottak, amelyek a fog túlélését, a gyökérkezelés sikerességét 100% közeli értékre javítják. Amennyiben valaki mindezek ellenére sem szeretne gyökérkezelt foggal élni, úgy oldalsó fogak esetén szóba jöhet a fog eltávolítása, és a kialakult foghiány fogszabályozóval történő zárása.

Bracket leesés – ki a “hibás”?

Gyakori probléma, hogy egy-egy bracket leesik a fogszabályozó kezelés alatt. A bracketeket ragasztóanyaggal rögzítjük a fogak külső felszínére, a ragasztó által egy nagy teherbírású kötést hozunk létre a fog és a bracket között. Hol keletkezhet rés a pajzson?

A kezelés alatt fontos betartani az étkezési szabályokat. A fogszabályozó megszokásáig mindenképpen lassan, megfontoltan kell rágni az ételeket, ami pedig a legfontosabb, hogy nem szabad ragadós-ropogós kajákat enni. Ezeket a bracketeket letörhetik, lehúzhatják a fogról (popcorn, pirítós széle, karamella, magvas ételek stb.). Ez a páciens „hibájából” eredő bracket leesés. 90%-ban ez a leesések oka.

A fogszabályozó felragasztásakor a ragasztási területet meg kell tisztítani, valamint nyáltól, vértől izolálni kell. Csak így érhető el kellően erős kapcsolat a fog-bracket között. Amennyiben a fogon a ragasztáskor lepedék marad, vagy a fog felszíne nyálas/véres lesz (utóbbi leggyakrabban fogínygyulladás miatt következhet be) sérülhet a fog-bracket közötti kapcsolat, ez pedig a bracket leeséséhez vezethet. Ez javarészt a kezelőorvos „hibája”, és a fogszabályozó felragasztásától számított 48 órán belül szinte 100%-ban be is következik. Ezután már nem ragasztási hibából ered a leesés. 5%-ban ez a leesések oka.

A fogszabályozó felhelyezését követően harapásemelőt építek a fogakra. Ez elsősorban az alsó ív ragasztását követően nagyon fontos lépés, hiszen ilyenkor a felső fogak ráharaphatnak az alsó tappancsokra. Ha nem történik harapásemelés, akkor a felső fogak akár le is törhetik az alsó bracketeket. Ez véleményem szerint az orvos „hibájából” eredő gond. Fontos továbbá megjegyeznem, hogy a harapásemelők az idő előrehaladtával bekopnak, az adott fogak enyhén süllyednek. Előfordulhat, hogy a rendelőből távozva még minden rendben van, de 2-3 hét múlva a harapásemelő bekopik (pl.: rágózás, csikorgatás, éjszakai szorítás miatt), és a felső fogak újra az alsó bracketekhez érhetnek. Ezt gondot mihamarabb jelezni kell a kezelőorvos felé, és SOS harapásemelést kell kérni, hogy elkerüljük a bajt. Ha ez nem történik meg, az alsó bracketek közül jópár leeshet. Ilyenkor általában a páciens a felelős a leesésért. 5%-ban ez a leesések oka.

A bracketek épségének megőrzése tehát nagyon fontos, közös feladatunk, érdekünk is. Az állandó bracket leesés nagymértékben megnövelheti a várható kezelési időt, így érdemes odafigyelni arra, hogy mit eszünk, és vigyázni fogainkra, tappancsainkra.

Copyright © 2020 Dr. Szegedi Levente | Minden jog fenntartva.