Fogszuvasodás a fogszabályozó kezelés ideje alatt?

Sokan félnek attól, hogy fogszabályozás alatt “elromlanak” a fogai. Mindenkit szeretnék megnyugtatni, csupán egy tévhit, hogy a fogszabályozó kezelés fogszuvasodáshoz vezet. Amennyiben megfelelő a szájhigiéniánk, és a fogmosással kapcsolatos utasításokat betartjuk, úgy gyakorlatilag nincs esély új fogszuvasodás kialakulására.

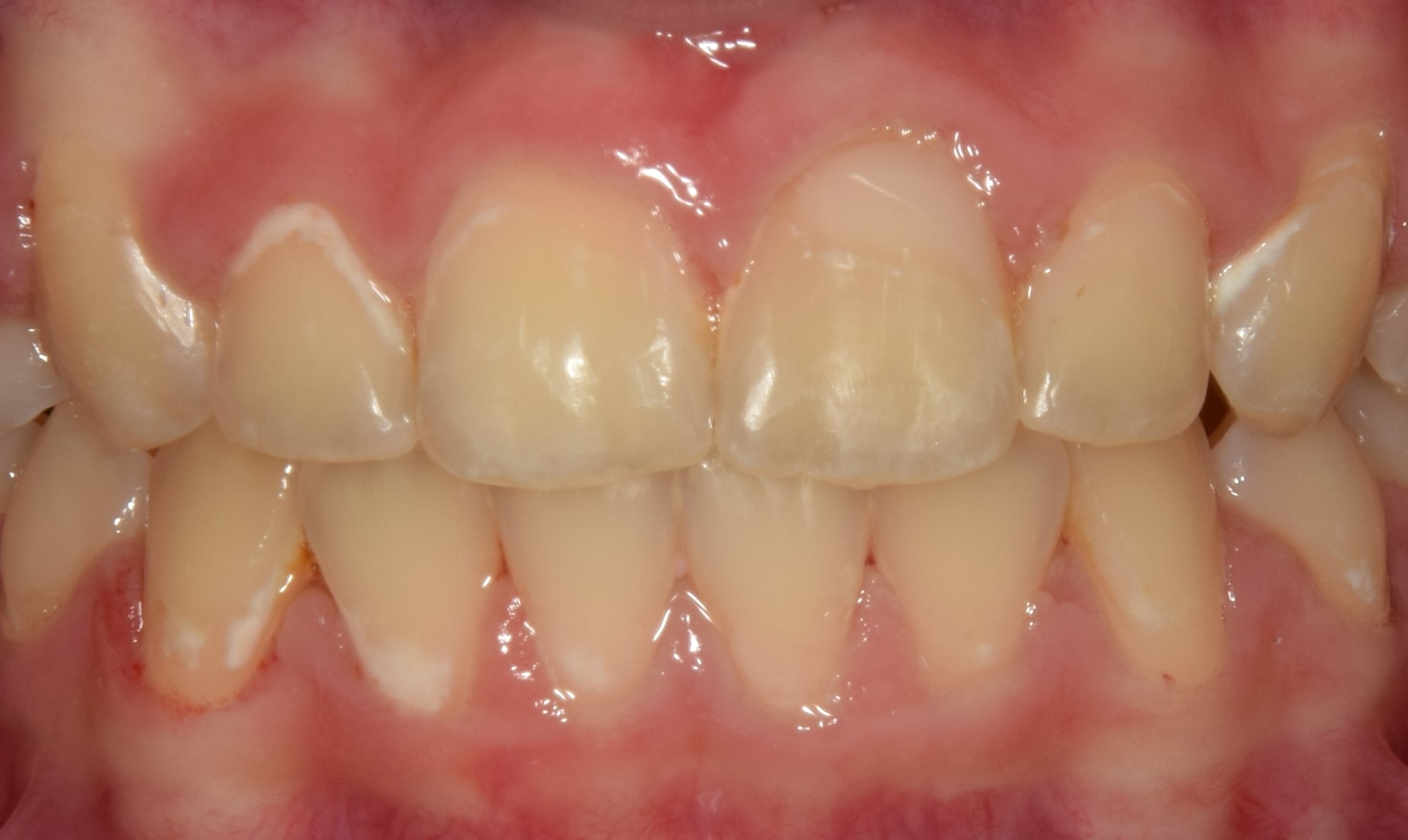
Mégis milyen esetben jöhet létre fogszuvasodás? Ha a szájhigiéné rossz, úgy a fogszabályozó körül nagy mennyiségű lepedék gyűlik fel, ami a fogon megtapad, és egy saját mikrokörnyezetet hoz létre. Ez a mikrokörnyezet savas pH-val rendelkezik, ami a zománcból fokozatosan kioldja az ásványi anyagokat.

Fehéres elszíneződésként jelenik meg a fogakon, a bracketek körül. Ezt hívjuk white spot léziónak, ami a zománc krétafehér elszíneződését jelenti. Fontos megjegyezni, hogy a white spot lézió még visszafordítható állapot. Kezelésre fluorid tartalmú fogkrémet, illetve Tooth Mousse nevű calciumot tartalmazó pasztát javaslok.

A fogszabályozó készülék eltávolítása után a szűnni nem akaró fehéres elváltozást ICON nevű anyaggal fúró, vagy bármilyen radikális eszköz alkalmazása nélkül lehet kezelni. Ez egy infiltrációs technika, ahol először magas koncentrációjú, erős savakkal a zománc szerkezetét felérdesítjük (nem felpuhítjuk!), majd folyékony, fogszínű anyagot masszírozunk az így keletkezett mikroszkopikus résekbe. Ha ez a módszer sem működik, akkor sajnos kizárólag radikális úton, a fog csiszolásával, fúrásával állítható helyre az elváltozás. Ez héjpótlást, vagy fogszínű tömést jelent általában.

Ha a szájhigiéné még a fehér foltok kialakulását követően sem javul, úgy a helyzet tovább romlik, és fogszuvasodás alakul ki. Ez legtöbbször a fogak külső felszínén, vagy a fogak egymással érintkező felszínén (kontaktpont) alakul ki. A fogzománc, és az alatta lévő dentin is sérül, felpuhul. Kezeletlen esetben akár a fogbelet is elérheti, és a fog elhalásához vezethet. Kezelése minden esetben a fog fúrásával jár. Legtöbbször a fogszabályozó kezelés kezdete előtt nagyon apró, észre nem vehető szuvasodások kezdenek rosszabbodni a fogszabályozó kezelés kezdete után, rossz szájhigiéné esetén.

Fontos tehát, hogy alaposan tisztítsuk fogainkat a kezelés teljes időtartama alatt. Aki így tesz, annak semmi oka sincs az aggodalomra, aki viszont elhanyagolja a fogait, az a jövőben sok fejfájást okoz magának.

Copyright © 2020 Dr. Szegedi Levente | Minden jog fenntartva.