Az ideális, harmonikus fej-nyaki komplexum jellemzői

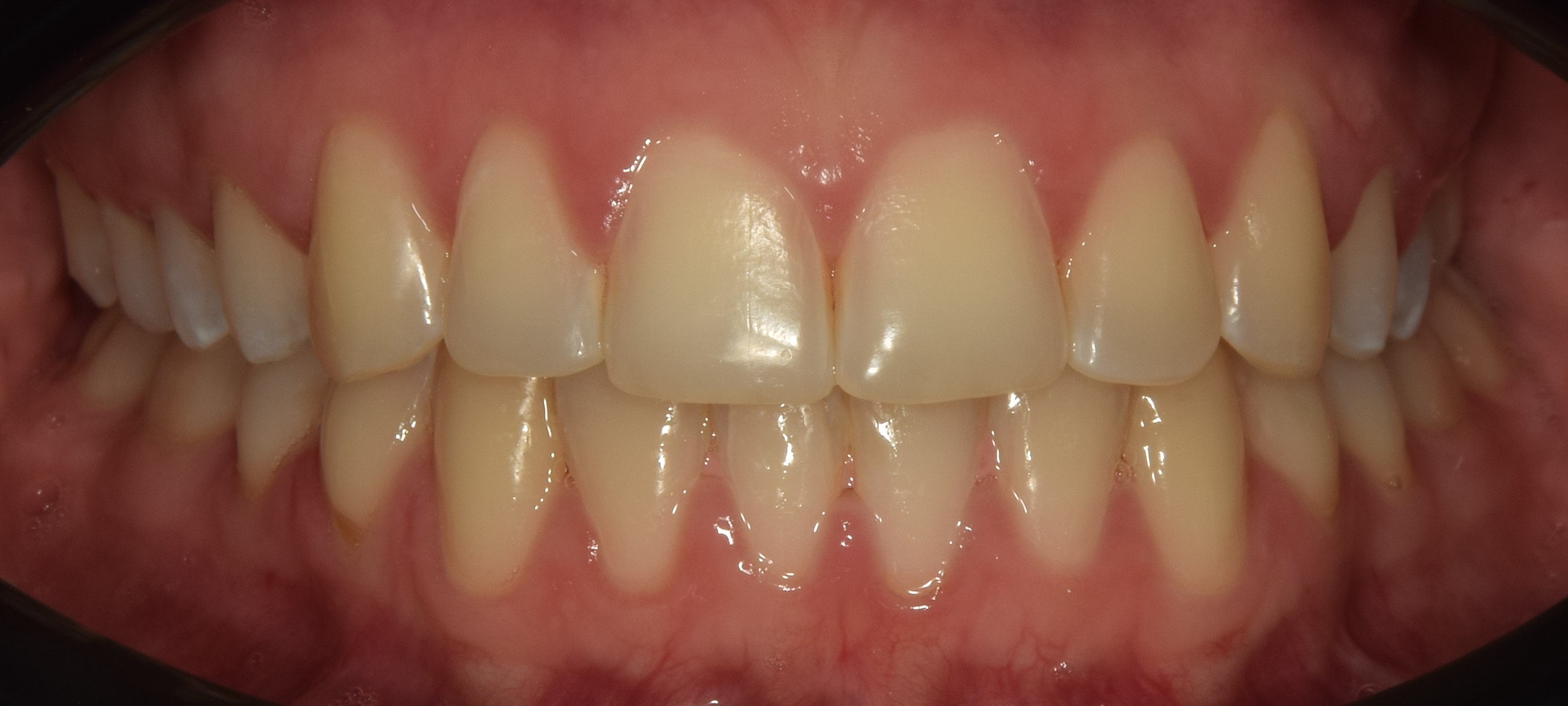
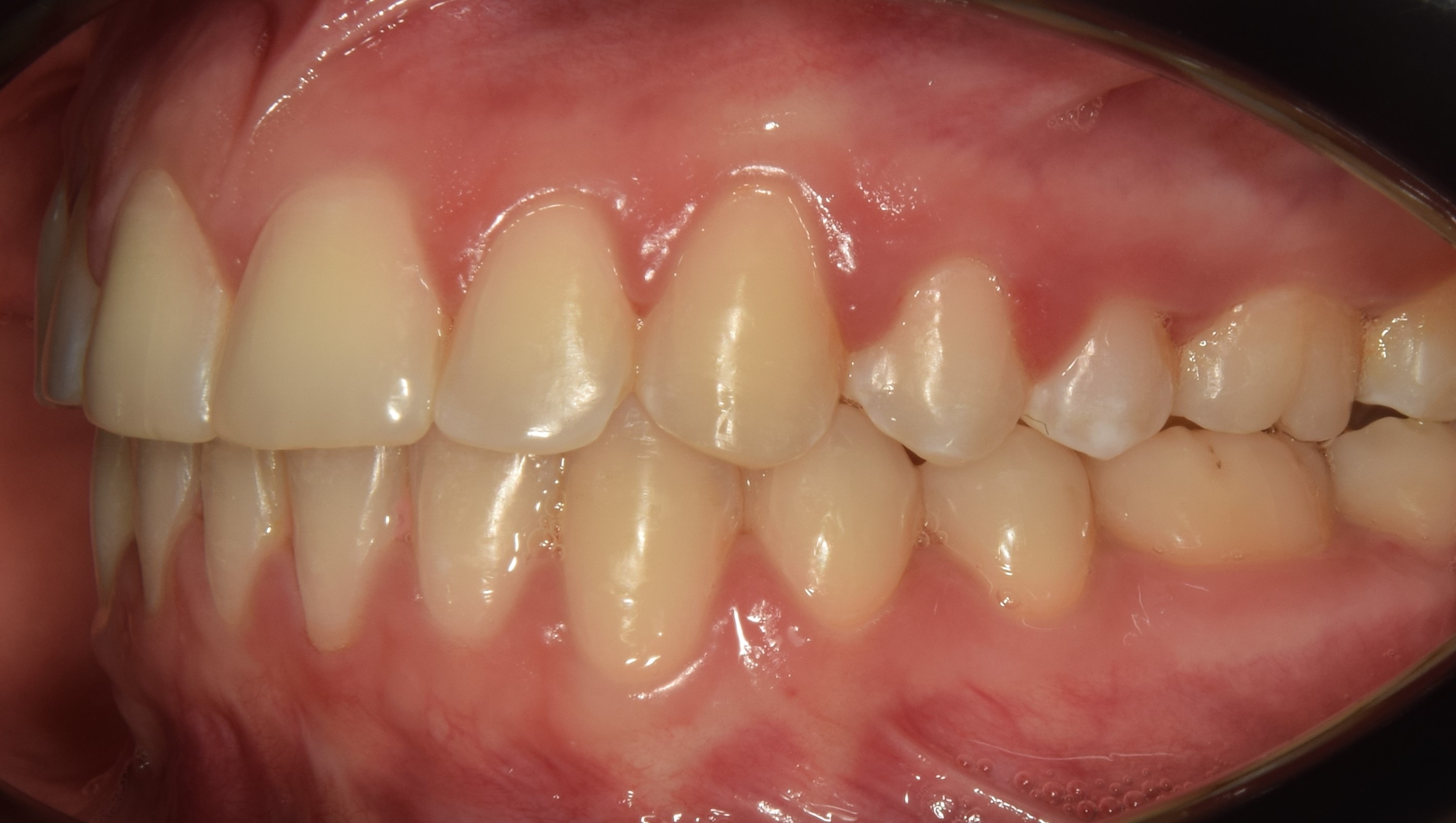
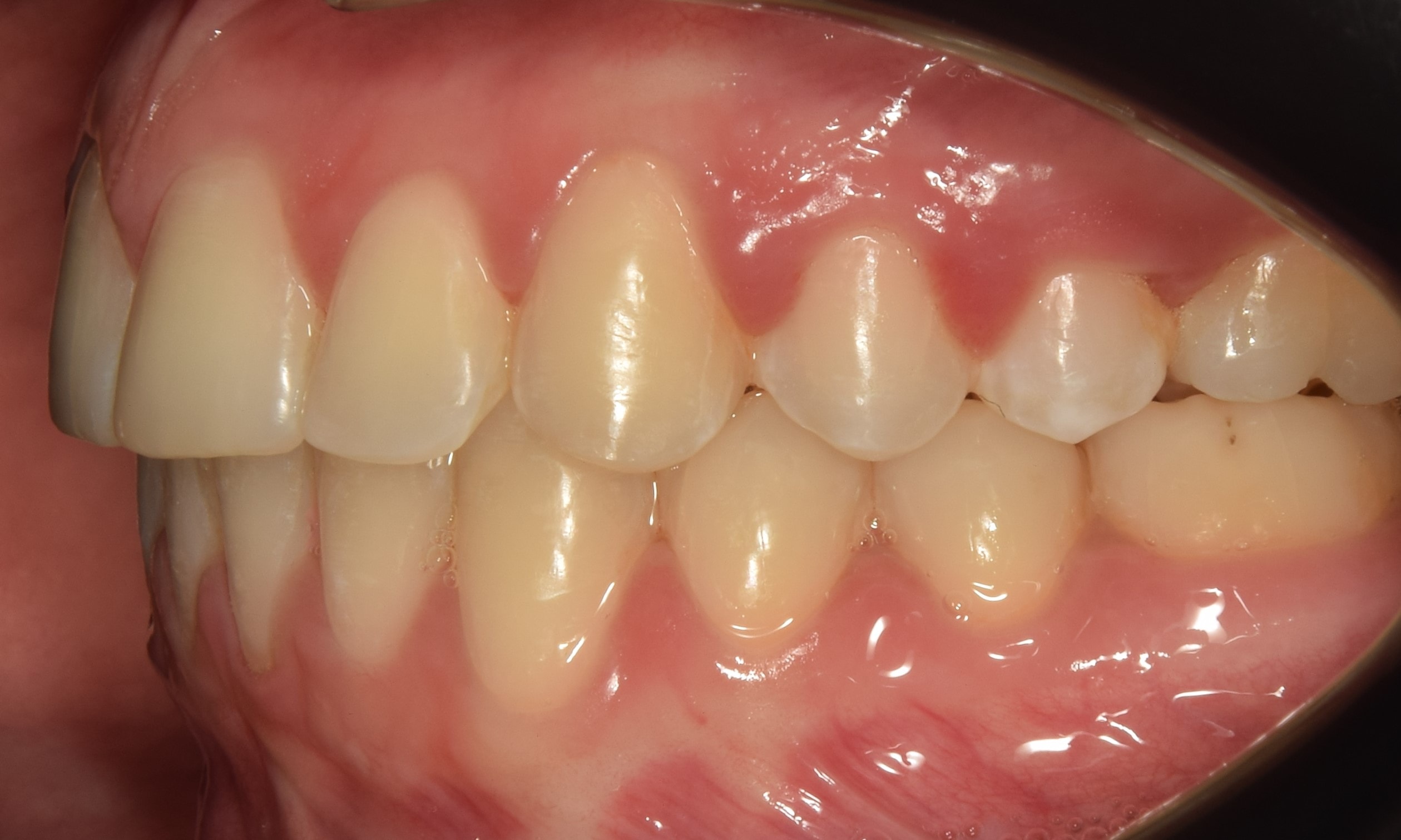
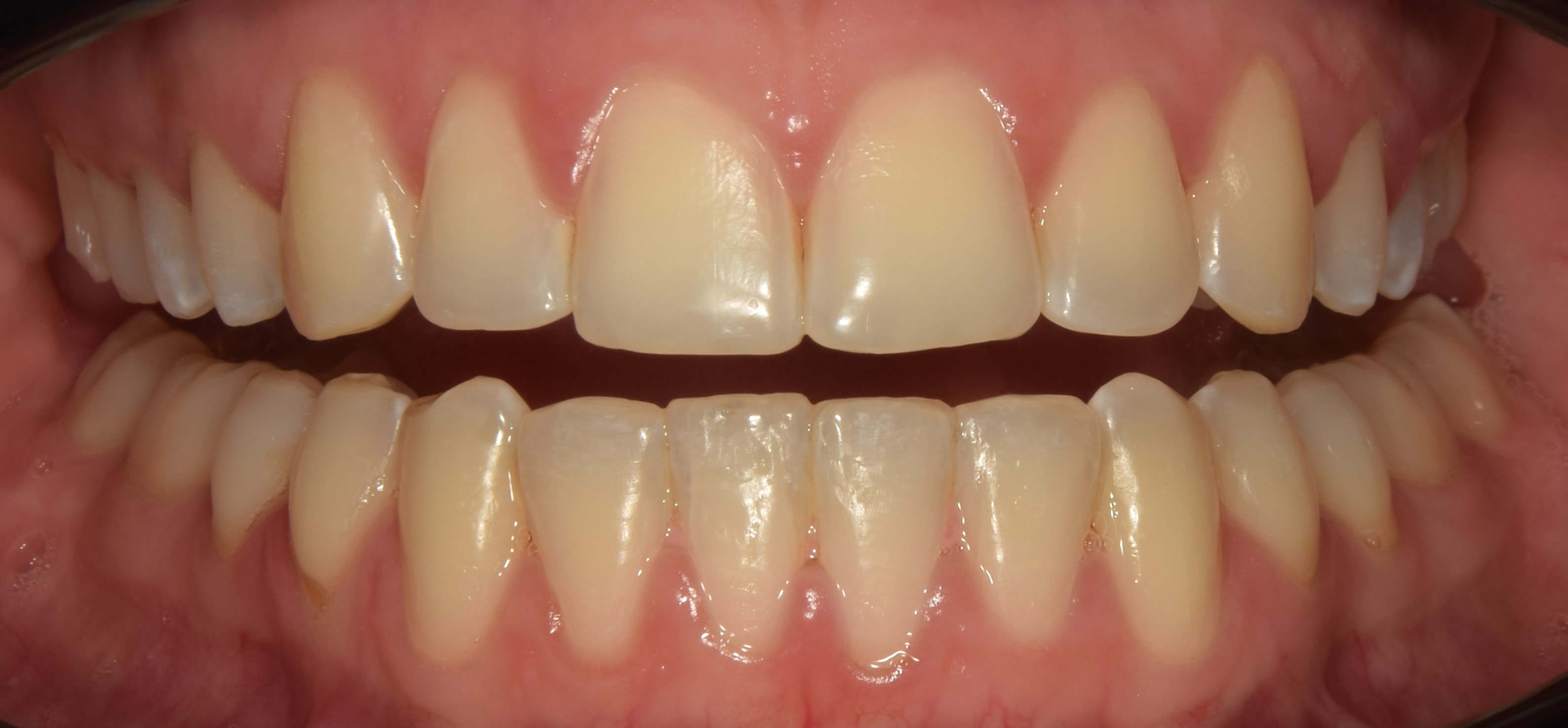
Ahhoz, hogy tudjuk osztályozni a fogszabályozási anomáliákat, fontos tudni, hogy jelenleg mit értünk tökéletes harapás (más néven okklúzió) alatt. Ideális esetben ez torlódás- és résmentes fogazatot jelent, mely mind a haránt-, nyíl- és hosszanti síkban is harmonikus. Ebben az esetben a felső első nagyőrlő fogak külső-elülső csücske (mesiobuccalis csücsök) az alsó első nagyőrlő fogak két külső csücske közötti barázdába harap, valamint a felső szemfog az alsó szemfog és első kisőrlő közé harap. A felső fogív körülöleli az alsót, és csupán 1-2 mm-rel van előrébb attól (overjet). A felső metszőfogak az alsó metszőfogakból 1-2 mm-nél nem fednek többet (overbite).

Mosolygásnál a felső fogak élére állított vonal követi az alsó ajak vonalát (mosolyvonal), a felső fogak ínykontúrja pedig szinte párhuzamos a felső ajakkal. A felső metszőfogak 100%-a látható mosolygásnál. Nincs ínymosoly, abból maximum 2 mm figyelhető meg a mosolygás során. Az oldalsó ajakzug, tehát az alsó-felső ajak találkozása fogakkal kitöltött.

A felső és állcsont megfelelően helyezkedik el az archoz képest, a felső ajak megfelelően telt, a profil harmonikus, az izmok kiegyensúlyozottak, a test- és fejtartás harmonikus, egyenes.

Copyright © 2020 Dr. Szegedi Levente | Minden jog fenntartva.