Rögzített fogszabályozók, fix retainerek és MRI: amit tudnod kell

A fogszabályozás ma már nemcsak esztétikai kérdés, hanem a fogak egészségének megőrzése érdekében is fontos. Azonban sok páciensben felmerül a kérdés: mi történik, ha valaki rögzített fogszabályozót vagy fix retainert visel, és MRI vizsgálatra van szüksége? Vajon biztonságos a mágneses rezonancia vizsgálat ilyen esetben? Az alábbiakban közérthetően bemutatjuk, amit mindenképp tudnod kell erről.

Mi az MRI és miért lehet problémás fogszabályozóval?

Az MRI (mágneses rezonancia képalkotás) egy nagy erejű mágneses mezőt használó képalkotó eljárás, amely rendkívül hasznos eszköz a diagnosztikában. Azonban mivel az MRI során erős mágneses tér jön létre, fontos tudni, hogy az emberi testben vagy a testhez rögzített fémes tárgyak hogyan reagálnak erre a környezetre.

Ez különösen releváns azok számára, akik fém rögzített fogszabályozót vagy fix retainert viselnek. A kérdés tehát adott: zavarhatja-e ezek jelenléte az MRI-t? És ha igen, mikor jelenthet problémát?

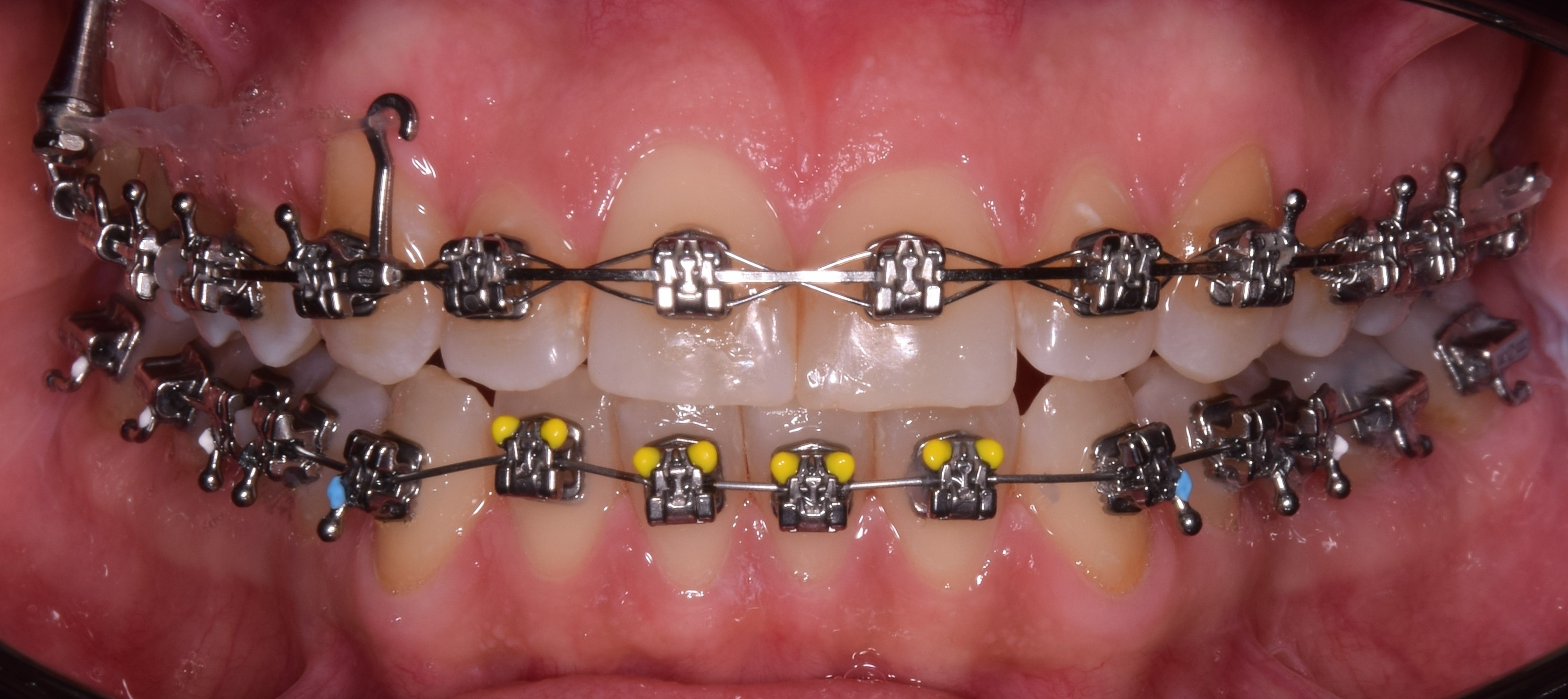
Rögzített fogszabályozó és MRI – lehetséges interferencia

A legfrissebb kutatások – például a BMC Oral Health-ben megjelent tanulmány – szerint a rögzített fogszabályozó készülékek befolyásolhatják az MRI vizsgálat minőségét, különösen akkor, ha a vizsgálat a fej vagy a nyak területére irányul. A fém alkatrészek torzításokat (ún. artefaktokat) okozhatnak a képeken, ami nehezítheti vagy ellehetetlenítheti a pontos diagnózist.

A tanulmány alapján:

  • Az MRI képeken jelentkező torzulás mértéke attól függ, milyen anyagból készült a fogszabályozó.
  • A rozsdamentes acélból készült elemek nagyobb mértékben torzítják a képet, mint például a titánból vagy kerámiából készült változatok.
  • A mágneses tér erőssége (pl. 1,5T vagy 3T MRI) szintén befolyásolja a torzítás mértékét.

Fix retainer és MRI – kisebb kockázat, de nem elhanyagolható

A fix retainer, amelyet a fogszabályozás után rögzítenek a fogak belső oldalára, általában vékony drótból áll. Bár mérete kisebb, mégis befolyásolhatja az MRI felvételek minőségét, ha a vizsgálat a fej, az állkapocs vagy a nyaki területre koncentrál.

Fontos azonban megjegyezni, hogy a fix retainer által okozott torzulás jellemzően kisebb mértékű, mint a teljes rögzített fogszabályozó készüléké, de bizonyos esetekben ez is problémás lehet.

Mit tegyél, ha MRI-re mész fogszabályozóval?

Ha fogszabályozót vagy fix retainert viselsz, és MRI vizsgálatra vagy beutalva, mindig jelezd ezt az orvosnak vagy radiológusnak! Ők meg tudják állapítani, hogy:

  • az adott testrészt érinti-e a fémes eszköz okozta torzítás,
  • szükséges-e a fogszabályozó vagy retainer ideiglenes eltávolítása,
  • vagy elvégezhető-e a vizsgálat más típusú képalkotással (pl. CT, ultrahang).

A legtöbb testtájon végzett MRI (pl. térd, gerinc, hasi régió) esetén a rögzített fogszabályozó vagy fix retainer nem jelent problémát. De ha a vizsgálat a fejre, nyakra, arckoponyára irányul, a fogorvos és a radiológus együttműködése különösen fontos.

Összegzés

A fogszabályozás során használt rögzített fogszabályozó készülékek és fix retainerek általában biztonságosan viselhetők MRI vizsgálat közben is – de ez nagyban függ a vizsgálat típusától és helyétől. A fej-nyaki régióban végzett képalkotás esetén előfordulhat, hogy a fém elemek rontják a diagnosztikai értéket. Ezért mindig fontos előre egyeztetni az orvosoddal és fogszabályozó szakorvossal, hogy biztos lehess a legjobb eredményben.

Copyright © 2020 Dr. Szegedi Levente | Minden jog fenntartva.